H3N2合并化脓性链球菌感染所致脓毒症休克的治疗案例一则
时间:2026-01-07 13:28:54来源:医师报作者:侯吉锋
重症肺炎合并急性呼吸窘迫综合征(ARDS)是H3N2流感患者病情危重、导致死亡的主要原因之一,其核心病理生理机制为不受控的炎症反应所致的肺损伤。如何有效遏制这种“炎症风暴”、保护肺功能已成为临床治疗的关键难点与重点。西维来司他钠作为一种中性粒细胞弹性蛋白酶抑制剂,理论上可针对此关键环节发挥作用。与此同时,对于常规治疗无效的极危重呼吸衰竭患者,持续血液净化技术可提供至关重要的支持,为原发病的治疗创造时机。本研究旨在探讨西维来司他钠联合体外生命支持技术在此类危重患者中的临床应用价值。
病例信息
主诉:患者,男,71岁。因“反复咳嗽,咳痰,气短10余年,加重3天”于2025.11.16入院。
现病史:患者10余年前每于冬春季节受凉或感冒后出现咳嗽,咳痰,痰为白色粘痰,不易咳出,无长期咳大量脓臭痰,无低热,盗汗及咯血,无刺激性干咳及声嘶,病情呈反复发作,每年约持续3月余,并逐渐出现气短,活动后为著,曾多次住院治疗,诊断:慢性阻塞性肺疾病,II型呼吸衰竭,院外不规律使用布地奈德福莫特罗粉雾剂160。9月前因上述症状急性加重就诊于我科住院治疗,出院诊断:1.慢性阻塞性肺病伴有急性下呼吸道感染2. II型呼吸衰竭3.慢性肺源性心脏病4.高血压病3级(极高危)5.帕金森病,建议长期家庭氧疗及无创呼吸机辅助通气,长期氟替美维粉雾剂。1月前患者再次因上述症状加重就诊我科,予对症治疗症状好转后出院。出院后患者使用呼吸机每日约15小时,规律吸入氟替美维治疗,期间监测指脉氧85 -90%。3天前无明显诱因再次出现咳嗽,咳黄白痰,痰量中等易咳出,1天前患者出现发热,监测体温最高42℃,伴气短明显,遂就诊我院急诊,行胸部X线检查提示:2025-11-16胸部X线:1.双肺透过度减低,纹理模糊,散在索条,请结合CT 2.心影饱满,结合临床相关检查3.双侧胸腔积液4.双侧多发肋骨走行欠规整,化验示白细胞,PCT,CRP等指标升高,现为求系统诊治收住院治疗。患者自发病以来精神,饮食及睡眠差,偶有心悸,头晕,头疼,无胸痛,无恶心及呕吐,无腹痛及腹泻,大,小便如常,体重无明显增减。
既往史:高血压病史40余年,最高160/110mmHg,目前口服”苯酸氨氯地平片5mg日1次,替米沙坦40mg日1次”,血压控制一般;”帕金森病”1年,并因此影响行动能力,目前口服”美多芭“半片/次 日3次;普拉克索片 1片/次 日3次;20年前曾因”胆结石”行胆囊切除术,否认糖尿病病史,否认输血史,否认食物过敏史,否认肝炎,结核等传染病史,预防接种史不详。
查体:T38.3℃, P104次/分,R20次/分,BP131/70mmHg,SPO285%(鼻导管吸氧)。
神志清楚,呼吸急促,问答切题,口齿清楚,查体合作。口唇发绀,全身皮肤粘膜无黄染,无瘀点瘀斑,无出血点,全身浅表淋巴结无肿大。颈软,无抵抗,颈静脉无充盈,气管居中,双侧呼吸运动对称。肺部听诊:双肺呼吸音弱,双肺闻及干湿啰音,HR104次/分,律齐,杂音未闻及,腹平软,无压痛与反跳痛,肝脾肋下未及,肝颈静脉反流征(-),双下肢水肿,生理反射存在,病理反射未引出。
辅助检查:
2025/11/16:
急诊血气分析:血气分析:酸碱度:7.41,二氧化碳分压:45.6↑mmHg,血氧分压:49↓mmHg,实际碳酸氢盐浓度:28.0↑mmol/L,标准碳酸氢盐浓度:26.9↑mmo1/L,实际碱剩余:3.2↑mmol/L,标准碱剩余:3.6↑mmol/L,游离钙:1.02 ↓mmol/L,氧饱和度:83.9 ↓%;
2025/11/16 :
凝血功能常规:凝血酶原时间:15.6 ↑s,凝血酶原活动度:60↓%,活化部分凝血活酶时间:30.3 s,纤维蛋白原:3.74g/L,凝血酶时间:12.9S,INR:1.43↑,纤维蛋白原降解产物:2.08↑ug/ml,D-二聚体:0.23 ng/mL;
2025/11/16:
急诊:肌钙蛋白I:<0.010ug/L, B型钠尿肽:481.00ng/L;,肌酸激酶:99U/L,肌酸激酶同功酶:17.5U/L;
2025/11/16:
急诊肝、肾功能:尿素:6.52mmol/L,丙氨酸转移酶:10.71U/L,天门冬氨酸转移酶:13.3U/L ,肌酐:87.11μmol/L,谷氨酰基转移酶:25.0U/L,腺苷脱氨酶:12.0U/L,碱性磷酸酶:77.8U/L,总胆红素:21.36↑μmol/L,直接胆红素:9.23↑μmol/L,间接胆红素:12.13μmol/L,总蛋白:66.8g/L,白蛋白:44.70g/L,球蛋白:22.10g/L,白球比值:2.02,乳酸脱氢酶:210U/L,胆碱脂酶:7.02KU/L,钾:3.02↓mmol/L,钠:137.1mmol/L,氯:101.5mmo1/L,钙:1.96↓mmo1/L,二氧化碳:28.8mmol/L,磷:0.54↓mmol/L;
2025/11/16:
血常规+超敏C反应蛋白:超敏C反应蛋白:38.14 ↑mg/L,白细胞计数*:10.66↑*10^9/L,中性粒细胞绝对值:9.66↑*10^9/L, 淋巴细胞绝对值:0.71↓*10^9/L,血红蛋白量*:147g/L,血小板计数*:136*10^9/L;
2025/11/16:
隐血试验(免疫法):阳性
2025/11/16:
膀胱残余尿量测定,膀胱未充盈。右肾囊肿膀胱未见尿潴留
2025/11/16:
常规心电图: 1.窦性心动过速2.房性早博二联律3.部分导联ST-T改变4.请结合临床5.建议做动态心电图
2025/11/16:
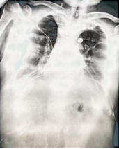
急诊胸部正位片: 1.双肺透过度减低,纹理模糊,散在索条,请结合CT 2.心影饱满,结合临床相关检查3.双侧胸腔积液4.双侧多发肋骨走行欠规整
肺泡灌洗液:
诊断:
慢性阻塞性肺病急性加重;呼吸衰竭;发热原因待查;双侧胸腔积液;电解质紊乱-低钾低钙低磷血症;凝血功能异常;肺动脉高压(轻度);高血压病3级(极高危);帕金森病。
治疗及转归:
转入ICU予以机械通气(VC模式、FIO2 100%,PEEP 6cmH2O),血氧饱和度75-86%左右波动,患者存在脓毒症休克至急性肾衰竭,无尿、急性呼吸窘迫综合征,感染指标显著升高,
符合血液净化治疗指征,予以血液净化治疗。同时予以青霉素钠+克林霉素抗感染治疗,西维来司他钠针0.4g ivgtt qd(4.8mg/kg)连用十天纠正ARDS、奥美拉唑抑酸护胃、决奈达隆降低心率、补充人血白蛋白等治疗。
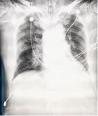
2025/11/20复查床旁胸片:1.双肺纹理增强,模糊,双肺散在条片影,请结合临床及CT检查2.右肺门影增大,结合CT 3.心影饱满4.双侧胸腔积液,左侧为著5.双侧多发肋骨走行欠规整,结合病史 6. 气管插管后
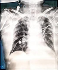
2025/11/23床旁胸片:1.肺水肿可能,较2025-11-20DR改善,请结合临床及实验室检查2.左侧胸腔积液3.双侧多发肋骨走行欠规整,结合病史
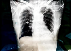
2025/11/27床旁胸片:1.双肺纹理增多,增粗,较2025-11-23DR相仿2.右肺门影增大,
较前相仿3.左侧胸腔积液
2025/12/01床旁胸片:1.左侧胸腔积液2.双肺感染,治疗后复查
2025/12/02常规胸腔积液:双侧胸腔未见明显液性无回声区(床旁超声检查,结论仅供参考,病情变化请进一步检查或复查
2025/12/08床旁胸片提示双肺感染好转。血液净化支持下氧合指数逐渐改善,予以血液净化下机。
2025/11/16: 床旁胸片

2025/11/20床旁胸片

2025/11/23床旁胸片

2025/12/01床旁胸片

2025/12/08床旁胸片

肺泡灌洗液NGS及病原学结果



实验室检查趋势图:
超敏C反应蛋白

降钙素原

白蛋白

白细胞计数

中性粒细胞绝对值

总结
西维来司他钠对H3N2流感继发重症肺炎及急性呼吸窘迫综合征(ARDS)具有积极疗效,可有效提升患者呼吸功能,减轻炎症反应,从而改善临床结局。马静等[1]研究指出,该药物的核心作用机制在于抑制肺部损伤、改善肺功能并控制炎症发展。其能够显著抑制肺组织上皮细胞与内皮细胞释放炎性因子,减少因细胞因子刺激导致的中性粒细胞弹性蛋白酶释放,从而阻断肺损伤的恶性循环。此外,西维来司他钠可降低重症监护室(ICU)中多种疾病合并ARDS患者的炎症指标水平,且多数病例预后良好。分析其机制,该药能选择性抑制弹性蛋白酶对细胞外基质及上皮连接结构的破坏,从而缓解全身炎症反应,提升治疗效果[2]。
体外生命支持技术是针对常规治疗无效的严重心肺功能衰竭的临时救治手段。体外膜肺氧合(ECMO)是目前应用最广的体外生命支持系统,其中静脉-静脉体外膜肺氧合(VV-ECMO)主要用于心脏功能尚可但存在严重呼吸衰竭的患者。
参考文献
1.马静,李长力,赵聪源,等. 西维来司他钠联合气道压力释放通气治疗创伤所致重度ARDS的临床疗效观察[J]. 临床研究,2024,32(2):49-52.
2.注射用西维来司他钠说明书
作者简介

侯吉锋
内蒙古自治区人民医院呼吸与危重症医学科
副主任医师
临床医学硕士
内蒙古自治区有为青年
AHA心脏协会基础生命支持导师
内蒙古康复医学会委员
内蒙古睡眠医学会委员
内蒙古康复医学会呼吸康复专业委员会
呼和浩特市医学会呼吸病分会