一例肺孢子菌肺炎(PJP)并发ARDS的儿童病例分享
时间:2026-01-14 12:58:07作者:郑贵凤
肺孢子菌肺炎(PJP)是人类免疫缺陷病毒(HIV)感染和免疫系统减弱儿童中常见的机会性呼吸道感染,近年来与HIV相关的PJP发病率有所下降。然而PJP在非HIV感染免疫功能低下患者中的发病率一直在增加,包括恶性肿瘤、造血干细胞移植和实体器官移植受者、接受免疫抑制治疗的患者以及原发性遗传性免疫缺陷病患者等;据我国研究统计,PJP患儿中常见的三种基础疾病是血液肿瘤疾病、移植后和原发性免疫缺陷。与HIV感染PJP患者相比,非HIV感染PJP患者往往病情进展迅速,病死率更高,常合并低氧血症或呼吸衰竭。
今日分享一例横纹肌肉瘤化疗后,长期应用激素、免疫抑制剂的患儿因感染卡氏肺孢子菌并发ARDS,经早期联用靶向抗炎药物,使患儿病情得以改善的救治经过。
病例信息
主诉:
患儿男,2岁10个月,因“发热1天”于2025-10-25 入院。
现病史:
缘于入院前 1天无明显诱因出现发热,最高体温39.0℃,无抽搐,无咳嗽、咳痰,无呕吐、腹泻,无皮疹等不适;就诊我院门诊收住儿童血液组。
既往史:
下肢肿物行手术治疗,术后诊断“下肢恶性肿瘤(右小腿横纹肌肉瘤术后 腺泡型(foxl阳性) 高危 IV期);右侧腹股沟淋巴结肿大(转移瘤)”,术后辅以化疗;末次于10.15予VAC*方案化疗。
个人史:无特殊。
家族史:否认肿瘤家族史。
查体:
体温37.0℃,神志清楚,精神可,咽部充血,双肺呼吸音粗,未闻及干湿性啰音,心律齐,心音正常,未闻及病理性杂音,腹肌软,无压痛反应、无反跳痛反应,未及包块;神经系统检查未见阳性体征。
辅助检查:
血常规(2025-10-25):白细胞总数0.60×10^9/L,嗜中性粒细胞总数0.16×10^9/L,C反应蛋白33.48mg/L;降钙素原检测(2025-10-25):降钙素原0.21ng/ml。
肺炎支原体血清学试验(2025-10-26):肺炎支原体IgM0.03COI;呼吸道病毒核酸六联检(2025-10-27):均阴性。
(G试验)真菌(1-3)-β-D-葡聚糖检测(免疫比浊法)(2025-10-29):真菌D-葡聚糖检测>1000.00pg/ml;(GM试验)(血清)曲霉菌半乳甘露聚糖检测(2025-10-29):曲霉菌半乳甘露聚糖检测<0.10ug/l。
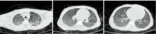
胸部CT检查:

诊断:
1. 重症肺炎
2. 肺真菌感染
3. 呼吸衰竭
4. 下肢恶性肿瘤(横纹肌肉瘤,IV期,高危,FOXO1基因断裂重组阳性,MyoD1+)
5. 化疗后骨髓抑制
入院治疗:
入院予“头孢哌酮钠舒巴坦”抗感染治疗;
2025-10-27 升级为“亚胺培南”抗菌治疗;
2025-10-28加用“万古霉素”联合抗感染、“甲泼尼龙”抗炎;
10.29予“伏立康唑”及“SMZ”抗真菌感染。
10.30患儿呼吸急促,烦躁不安,鼻导管吸氧下监测外周血氧饱和度波动于89%,听诊肺部闻及较密集湿啰音,予转我科进一步治疗。
转入PICU时血气分析:
1、入科时测得氧合指数:144mmHg(鼻导管吸氧)

2、高流量2小时,氧合指数:161mmHg

3、高流量6小时,氧合指数:213 mmHg

病原微生物检测结果详细列表

PICU治疗:
1. 高流量呼吸机辅助呼吸;10.30行纤维支气管镜肺泡灌洗治疗;
2. 予“头孢哌酮舒巴坦钠”抗感染、“SMZ+伏立康唑+卡泊芬净”联合抗真菌、激素抗炎、“西罗莫司”免疫抑制剂、“丙种球蛋白”增强免疫治疗、补充“白蛋白”、镇静及对症支持治疗;
3. 早期应用西维来司他钠(0.05g/d)持续静脉滴注5天。
疾病转归:
患儿体温渐平稳,症状好转,复查病灶好转,氧合好转,各项炎症指标好转。



氧合指数:270 mmHg

白细胞总数趋势

CRP变化趋势

IL-6变化趋势

患儿胸片(10月30日,11月2日)

修正诊断:
1. 重症卡氏肺孢子菌肺炎
2. 急性呼吸窘迫综合征
讨论
卡氏肺孢子菌导致ARDS机制的本质是“病原体触发、宿主免疫反应过度放大”导致的严重肺损伤,其关键损伤机制之一与中性粒细胞过度活化相关。
西维来司他钠通过竞争性结合中性粒细胞弹性蛋白酶的活性位点,直接减少炎症因子释放及中性粒细胞趋化,抑制级联放大的炎症效应,不引起过强的免疫抑制。《急性呼吸窘迫综合征抗炎治疗中中性粒细胞弹性蛋白酶抑制剂急诊应用专家共识》指出,对于ARDS患者,应当在诊断的同时评估氧合状况用以指导抗炎药物使用,推荐标准治疗基础上早期(至少48h内)联合应用西维来司他钠。

作者简介

郑贵凤
福建省漳州市医院儿童重症监护室