甲流并非“大号感冒”,合并结核可诱发ARDS,早期识别与综合治疗是关键
来源:医师报 作者:许巧珍
每年冬春季节是我国流感流行高峰期,当前已进入呼吸道传染病高发季节,疫情总体呈上升趋势,流感活动进入快速上升阶段,并仍将持续一定时间。
我国流感监测数据显示,截止2025年11月16日,我国流感病毒阳性标本中,甲型H3N2型阳性占98.5%(6897/7002),甲型H1N1型阳性占0.6%(42/7002)。甲流病毒其传染性强、发病率高、传播速度快、发病急、症状重、病毒变异强,是流感最严重的类型,易引发大流行1。
本文分享1例肺部结核合并甲流感染诱发ARDS的重症患者,在综合治疗基础上早期联用靶向抗炎药物(西维来司他钠)的诊疗过程。
病例信息
老年男性,因“反复发热8天”为主诉入院。
现病史:
缘于入院8天前无明显诱因出现发热,最高39.6℃,伴畏冷、寒战,伴头晕、纳差、乏力,稍咳嗽,少许白痰不易咳出,无呕血、便血,无尿频、尿急、尿痛,无头晕、头痛等不适,就诊当地诊所输液(具体不详)治疗,仍反复发热。4天前就诊云霄县医院,查“呼谱四项监测:甲型流感病毒TGM抗体(+)、人副流感病毒IgG(+),痰培养检出:嗜麦芽假单胞菌,药敏试验:头孢哌酮/舒巴坦S,米诺环素S,左氧氟沙星S,复方新诺明S;血常规示:白细胞总数5.32×10^9/L,嗜中性粒细胞总数3.98×10^9/L,*血红蛋白124g/L,*血小板总数157×10^9/L,CRP67.99mg/l”。先后予“阿莫西林克拉维酸钾、头孢哌酮舒巴坦”联合“多西环素”抗感染,“帕拉米韦”抗病毒,复查呼吸道病毒核酸六联检:阴性;上述症状无明显好转,仍反复发热,为求进一步诊治转诊我院,急诊拟“感染性发热”收住血液科。
既往史:
8年前外院因“食管癌”行手术治疗,术后辅以放化疗(具体不详)。
个人史:
长期吸烟史。
查体:
T38.3℃,血氧90%,神志清楚,呼吸音清,可闻及湿性啰音,心律齐,心音正常,各心瓣膜听诊区未闻及杂音,腹软,无压痛、反跳痛,双下肢无浮肿。
辅助检查:
急诊血常规(2025-10-12):白细胞总数6.13×10^9/L,血红蛋白128g/L,血小板总数194×10^9/L。血沉(2025-10-12):14mm/h(正常)。降钙素原检测(2025-10-12):0.72ng/ml。白介素-6(2025-10-12):115.08pg/ml。血培养阴性。tspot阴性。
肝功能+肾功能+电解质+心肌酶(2025-10-12):白蛋白27.90g/L,乳酸脱氢酶471U/L,谷草转氨酶108.1U/L,钙1.91mmol/L,碱性磷酸酶1002.4U/L,总胆红素26.6umol/L,谷丙转氨酶99.7U/L,lǜ97.8mmol/L,钠131.6mmol/L,钾3.40mmol/L,谷氨酰转酞酶896.5U/L。急诊凝血4项(2025-10-12):凝血酶时间17.1秒,纤维蛋白原1.95g/L。
新冠核酸、肥达外斐、呼吸道病毒核酸六联检阴性。尿培养无菌生长。
痰涂片:检出酵母样真菌(++)。痰培养(药敏费另收)+痰涂片(2025-10-15):肺炎克雷伯菌++,美洛培南<=0.25S,哌拉西林/他唑巴坦<=4S,亚胺培南<=0.25S。痰找抗酸菌阴性。
肌钙、肌红蛋白正常;B型钠尿肽测定(2025-10-12):368.00pg/ml。甲功正常。
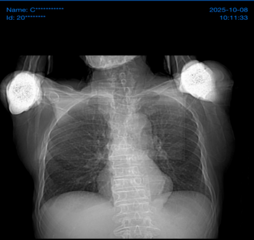
入院时胸片:

入院时CT:


诊疗过程:
先后予“头孢哌酮钠舒巴坦+莫西沙星”、“比阿培南”抗感染,“奥司他韦”预防性抗病毒、补钾、保肝、降温等治疗。因患者仍反复发热,伴血氧饱和度下降,考虑抗感染治疗欠佳,遂转科进一步治疗。
转入RICU时血气分析:

氧合指数:61.3 sofa评分:6分;APACHEⅡ评分:20分。
转入RICU时气管镜灌洗:

入RICU诊断:
1、病毒性肺炎
2、细菌性肺炎(嗜麦芽假单胞菌+肺炎克雷伯菌)
3、ARDS
4、肝功能不全
5、低蛋白血症
6、食管癌术后
7、电解质紊乱

ROX临界值:90/0.75*20=6大于4.88,予以继续高流量辅助呼吸,继续监测。
治疗及监测策略:

1. 高流量呼吸机辅助呼吸;痰多不易咳出,管腔内大量痰栓,多次纤支镜吸痰;
2. 先后予美罗+依替米星,舒普深+替加环素,卡泊芬净抗真菌、激素抗炎、依诺肝素抗凝、对症支持治疗
3. 早期应用西维来司他钠0.3g 持续泵入,连续静脉泵注10天
疾病转归:

氧合指数:270mmHg
白细胞变化趋势

降钙素原变化趋势

白介素6变化趋势

CRP变化趋势

白蛋白趋势

整体病情转归:

转归:症状好转,复查病灶好转,氧合好转,各项炎症指标好转,但仍反复发热。


骨髓细胞学:


血液科会诊结果:
患者反复发热,完善BM象提示: 粒系比例增高,核左移,结合骨髓活检结果提示以分叶核巨核细胞为主,间质见多灶肉芽肿形成并多核巨细胞反应,未除特殊感染。
患者骨髓象及骨髓活检考虑感染继发可能性大,建议继续贵科抗感染治疗,定期监测血常规。
超声支气管镜检查和气管镜活检特殊感染病理:

气管镜病理:


修正诊断:
1、血行播散型肺结核
2、重症肺炎(嗜麦芽假单胞菌+肺炎克雷伯菌+铜绿假单胞菌+流感嗜血杆菌)
3、真菌性肺炎(光滑念珠菌)
4、ARDS
疾病转归:
患者仍反复发热,鼻导管2L/mim吸氧下血氧98%,进一步抗结核治疗后体温正常,病灶吸收好转后出院。

抗结核后复查胸部CT较前好转。



病例总结
结核病是ARDS的不常见但明确的原因,与高病死率相关。尽管抗结核治疗是结核病所致ARDS治疗的首选,但结核病诊断和抗结核治疗的延迟已被认为是死亡的主要原因2。在本病例中,西维来司他可在抗结核治疗开始前快速改善PaO2/FiO2比值,从而增强ARDS的阳性结局。
肺结核并发 ARDS 的发病机制尚未明确,核心假设围绕 “病原体作用 – 免疫激活 – 肺损伤” 展开3:1、分枝杆菌大量入肺循环,引发炎症、动脉内膜炎及肺泡毛细血管膜损伤;2、肺毛细血管内血小板聚集损伤内皮,白细胞活化增加血管通透性;3、分枝杆菌成分脂甘露聚糖激活巨噬细胞,释放 TNF-α、IL-1b 等炎症因子;4、巨噬细胞激活及中性粒细胞过度活化被认为是肺损伤的关键环节,且个体宿主免疫应的影响仍需进一步证实。
《急性呼吸窘迫综合征抗炎治疗中中性粒细胞弹性蛋白酶抑制剂急诊应用专家共识》指出4,对于ARDS患者,应当在诊断的同时评估氧合状况用以指导抗炎药物使用,推荐标准治疗基础上早期(至少48h内)联合应用西维来司他钠。(证据级别:中等质量;推荐级别:强推荐);且对于存在ARDS高危因素的低氧血症患者应用西维来司他钠可早期改善氧合。(证据级别:低质量;推荐级别:弱推荐)
作者简介

许巧珍
福建医科大学附属漳州市医院呼吸与危重症医学科
硕士 、主治医师
成都高新区医学会间质性肺疾病专委会委员
漳州呼吸学会委员
中国老年保健协会委员
主持发表多项课题
参考文献
1.2025年第46周第883期中国流感监测周报.
2.Utsugi M, Ishizuka T, Hisada T, et al. Acute respiratory failure associated with miliary tuberculosis successfully treated with sivelestat sodium hydrate[J]. Internal Medicine, 2006, 45(13):909 – 913
3.Raina AH, Bhat A, Bhat FA, et al. Pulmonary tuberculosis presenting with acute respiratory distress syndrome (ARDS): A case report and review of literature[J]. Egyptian Journal of Chest Diseases and Tuberculosis, 2013, 62: 655-659.
4.4、中华医学会急诊医学分会,广东省医师协会急诊医师分会。急性呼吸窘迫综合征抗炎治疗中中性粒细胞弹性蛋白酶抑制剂急诊应用专家共识 [J]. 中华急诊医学杂志,2025, 34 (4):464 – 468.