食管癌放化疗后重症肺炎合并ARDS的抗炎治疗探索
来源:医师报 作者:夏俊波 汪剑峰
本次介绍一例合并食管癌免疫抑制状态的重症肺炎、急性呼吸窘迫综合征(ARDS)患者,在接受以西维来司他钠为核心的综合治疗后,氧和与炎症指标显著改善的病例。患者为食管鳞癌放化疗后,因“咳嗽、咳痰伴发热半月余”入院,影像学提示两肺炎症,经广谱抗生素治疗效果不佳,后经支气管肺泡灌洗液二代测序(NGS)明确为耶氏肺孢子菌、鼻病毒A及人巨细胞病毒(CMV)混合感染。入院时患者存在低氧血症(氧分压57.3 mmHg,血氧饱和度89.6%),符合ARDS诊断。在抗感染、抗病毒及糖皮质激素治疗基础上,加用西维来司他钠(0.1g q8h) 持续泵入治疗5天,患者氧合逐步改善,炎症指标下降,最终病情稳定出院。本病例为西维来司他钠在重症病毒合并耶氏肺孢子菌肺炎所致ARDS中的应用提供了临床实践参考。
主诉
咳嗽咳痰伴发热半月余
现病史
患者半月余前无明显诱因下出现咳嗽,伴咳白色黏痰,有发热,体温38.3℃,伴鼻塞流涕,无痰中带血、咽喉部疼痛、恶心呕吐,头晕头痛,胸闷胸痛等明显不适,于我院吴山院区就诊,查肺部CT示两肺炎症性病变,2025.10.17-10.31予头孢哌酮/舒巴坦钠针静接抗感染治疗,联合甲泼尼龙抗炎治疗,10.20起加用胸腺法新增强免疫力,2025.10.21起加用胸部深部热疗1周三次促进肺炎恢复。2025.11.1-11.3予左氧氟沙星lǜ化钠注射液抗感染治疗,2025.11.3-11.6予注射用美罗培南抗感染+氟康唑抗真菌,2025.11.4-11.6予利奈唑胺片口服抗感染治疗。今患者仍有发热,体温38.5℃,咳嗽咳痰同前,伴咽喉痛,自诉感头痛,略感胸闷气促,测指端血氧饱和度:93%。为求进一步治疗转至我院,拟“支气管肺炎”收住入院。
患者病来神清,精神可,睡眠一般,食欲欠佳,大小便无殊,近期体重无明显变化。
既往史
患者确诊食管恶性肿瘤(鳞癌cT3N1M0 III期)2月余,2025.8.12-2025.9.18行食管癌根治性放疗,采用IGRT放疗技术,射线为6MV X线。同时先后予替吉奥口服及奈达铂针(奥先达针)静滴化疗,辅助护肝护胃止吐等支持治疗。
患者返流性食管炎1年,未特殊治疗。
无高血压、冠心病、脑梗等心脑血管病史,无糖尿病、甲亢等内分泌疾病史,无其他肺部疾病、肾病等疾病史,无肝炎,结核等传染病史,预防接种史:同社会,输血:无,手术及外伤史:有手术外伤史为2017年右肩韧带断裂后行手术治疗,2019年行声带白斑手术,食物、药品过敏史:无,传染病史:无
个人史、家族史:无殊。
查体
神志清,精神软,两肺呼吸音粗,双上肺可闻及湿啰音,律齐,未闻及明显杂音,腹部平软,腹部无压痛及反跳痛,双下肢无浮肿,神经系统查体无殊。
辅助检查
2025-10-17 胸部CT平扫+增强扫描:1.两肺散在多发炎症性改变,较前(25-9-25)新增,请结合临床病史。原两肺小结节,因炎性病灶重叠,评估受限。2.纵隔、两侧锁骨上区多发小淋巴结,较前大致相仿,请结合临床病史及相关检查。3.两肺散在纤维灶。4.主动脉及冠脉散在钙化斑块。5.部分肋骨骨皮质扭曲,陈旧性改变考虑。6.食管中上段管壁略增厚,请结合临床,建议复诊。附见:左侧肾上腺增粗,请结合相关检查。
2025-10-30 胸部CT平扫:1.两肺散在多发炎症性改变,较前(25-10-23)片炎症相仿,请结合临床改变及实验室检查、复诊。2.两肺小结节,纵隔、两侧锁骨上区多发小淋巴结,较前大致相仿,请结合临床复查。3.两肺散在纤维灶。4.主动脉及冠脉散在钙化斑块。5.部分肋骨骨皮质扭曲,陈旧性改变考虑。附见:食管中上段管壁略增厚,请结合专科检查。
初步诊断
1.重症肺炎 2.I型呼吸衰竭3.颈段食管恶性肿瘤(鳞癌cT3N1MOШ期) 4.反流性食管炎5.纵隔淋巴结继发恶性肿瘤
入院后检验检查
2025-11-07血常规5+CRP:白细胞计数:6.5*10E9/L,中性粒细胞%:84.0 1%,淋巴细胞%:13.6 1%,单核细胞%:2.3 1%,嗜酸性粒细胞%:0.11%,血红蛋白量:111g/L,超敏C-反应蛋白:196.5 mg/L。
凝血功能4项(常规)+D二聚体:部分凝血活酶时间:37.7,D-二聚体:7441g/LFEU。
急诊血气分析:酸碱度 7.46,二氧化碳分压.:29.8 mmHg,氧分压.:57.3mmHg,实际碳酸根.:21.0 mmol/L,氧饱和度.:89.6 %。
痰涂片找真菌菌丝:未检到菌丝。
PD-1表达检测(细胞免疫功能评估):总T巴细胞PD-1表达率(CD3+PD-1+):36.091辅助T淋巴细胞PD-1表达率(CD4+PD-1+):46.441,细胞毒性T淋巴细胞PD-1表达率(CD8-D+):37.441,淋巴细胞总数:965.971*10^6/L,辅助T细胞CD4:82.454*106/L,抑制/细胞毒T细胞CD8%:51.461%,辅助T细胞CD4%:8.541%,CD4/CD8比值:0,17。支气管灌洗液细胞计数+肺泡灌洗液白细胞分类2025/U1/714:52:05:外观:无色微浑,有核细胞计数:216/1,中性粒细胞%:86%,淋巴细胞%:5%,肺泡吞噬细胞%:7%,嗜酸性粒细胞%:2%;结核分枝杆菌及利福平耐药基因检测2025/11/714:50:56:结核分枝杆菌DNA(Xpert):未检出,利福平耐药基因(Xpert):未检出:●烟曲霉菌特异IgE抗体测定2025/11/77:37:45:烟曲霉菌特异性IgE检测:<0,10KU/L;GM试验(肺泡灌洗液)2025/11/714:5056:GM试验(曲霉菌半乳甘露聚糖检测):<0.10ug/L;纤支镜刷取物涂片找抗酸杆菌2025/11/714:4932:抗酸杆菌:阴性(-);痰一般细菌、真菌培养及鉴定+药敏2025/11/78:41:36:正常菌群生长:,培养未检到真菌:;血液需氧培养2025/11/416:40:01:培养5天无细菌生长
治疗经过
入院后予特级护理,普食,经鼻高流量湿化氧疗,排除禁忌后,于2025.11.07行支气管镜检查。
支气管灌洗液细胞计数+肺泡灌洗液白细胞分类:外观:无色微浑,有核细胞计数:216/uL,中性粒细胞%:86%,淋巴细胞%:5%,肺泡吞噬细胞%:7%,嗜酸性粒细胞%:2%。
结核分枝杆菌及利福平耐药基因检测:结核分枝杆菌DNA(Xpert):未检出,利福平耐药基因(Xpert):未检出。
GM试验(肺泡灌洗液):GM试验(曲霉菌半乳甘露聚糖检测):<0.10ug/L。
纤支镜刷取物涂片找抗酸杆菌:抗酸杆菌:阴性(-)
肺泡灌洗液NGS提示耶氏肺孢子菌(59599)、鼻病毒A(252859)、人疱疹病毒5型(CMV)(226681)。

诊断考虑:病毒性肺炎、耶氏肺孢子菌病、ARDS。
药物上予盐酸氨溴索注射液30mgBID静接化痰,泮托拉唑钠肠溶片(希洛施)40mgQD(8AM)口服护胃,注射用更昔洛韦(更迈欣)200mgQ12H(8–)静接抗病毒(2025.11.06-2025.11.14),复方磺胺甲噁唑片1.44g抗感染(2025.11.06-2025.11.19),注射用甲泼尼龙琥珀酸钠(甲强龙):40mgBID静注(2025.11.06-2025.11.11),40mgQD(8AM)静注(2025.11.11-2025.11.14),20mg QD(8AM)静注(2025.11.17-2025.11.19),注射用西维来司他钠(希为纳)0.1g q8h微泵输液抗炎(2025.11.08-2025.11.13),注射用胸腺法新(日达仙)1.6mg3-6|W2D3(8AM)皮下注射增强免疫力(2025.11.08-2025.11.15)。
治疗期间相关检验检查结果:



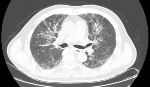
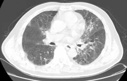
入院时肺部CT(11-07)


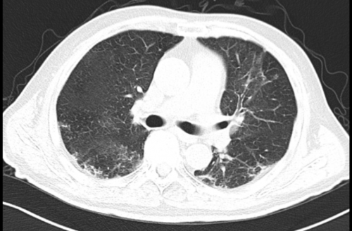
治疗后复查(11-14)


患者复查炎症指标下降,氧和较前好转,肺部CT示双肺渗出性病灶明显吸收,患者从经鼻高流量吸氧过度到鼻导管吸氧,最后能够完全脱离给氧装置,予以出院。
病例讨论
本例患者为食管癌放化疗后免疫功能抑制个体,肺部混合感染(耶氏肺孢子菌、鼻病毒、CMV)引发严重炎症反应,最终发展为ARDS。其治疗过程体现了在明确病原学基础上进行精准抗感染联合免疫调节与肺保护治疗的重要性。
1. 西维来司他钠在ARDS治疗中的作用机制
西维来司他钠是一种选择性中性粒细胞弹性蛋白酶抑制剂,能够抑制过度活化的中性粒细胞释放的弹性蛋白酶,减轻其对肺血管内皮细胞和肺泡基底膜的破坏,从而降低肺毛细血管通透性、抑制肺泡水肿及透明膜形成。本例在传统抗感染、抗炎基础上加用西维来司他钠,可能通过阻断炎症级联反应、减轻肺组织损伤,促进了氧合功能的改善。
2. 混合感染与免疫抑制背景下的治疗策略
患者既往接受食管癌放化疗,存在细胞免疫功能障碍,易发生耶氏肺孢子菌与病毒混合感染。治疗上需兼顾抗真菌(复方磺胺甲噁唑)、抗病毒(更昔洛韦)及免疫调节(胸腺法新、糖皮质激素)。西维来司他钠的加入,进一步强化了对炎症介导的肺损伤的控制,体现了多靶点干预在重症肺炎合并ARDS中的必要性。
3. 治疗反应与预后
患者在接受西维来司他钠治疗期间,氧分压与血氧饱和度逐步上升,超敏C-反应蛋白显著下降,提示炎症反应得到有效控制。该病例表明,在混合感染所致的ARDS中,西维来司他钠可作为辅助治疗药物,有助于改善肺通气和氧合,缩短机械通气或高流量氧疗时间。
4. 小结与展望
本病例提示,对于免疫抑制合并重症肺炎、ARDS患者,在积极抗感染基础上,早期应用西维来司他钠可能有助于遏制肺损伤进展,改善临床结局。未来仍需更多前瞻性研究进一步验证其在该人群中的疗效与安全性。
作者简介

夏俊波
西湖大学医学院附属杭州市第一人民医院
呼吸与危重症医学科副主任
主任医师 医学博士 硕士生导师
浙江省医师协会呼吸医师分会委员
浙江省医师学会胸部肿瘤专委会委员浙江省抗癌协会肿瘤呼吸病学专委会委员
浙江省康复医学会呼吸治疗康复专业委员会委员
浙江省肺功能联盟常委
浙江省慢阻肺专家联盟常委
杭州市医学会呼吸病分会委员
主攻慢性气道炎症性疾病机制、临床诊治与管理

汪剑峰
浙江大学内科学博士
浙江大学医学院附属第一医院 临床医学博士后
以第一作者发表有关慢性气道疾病相关不良反应机制SCI文章数篇
现就职于西湖大学医学院附属杭州市第一人民医院呼吸与危重症医学科