混合感染“群魔乱舞”,新型冠状病毒合并细菌、
真菌复杂感染的重症肺炎一例
来源:医师报 作者:张晓宇
重症肺炎作为一种临床常见呼吸系统危急重症,其发病急,常伴有多器官功能衰竭,严重威胁患者的生命健康。目前针对重症肺炎,现代医学的主要治疗方式是抗感染、机械通气等对症治疗,随着对传统中医的重视和发展,相关文献表明,中医药对重症肺炎的治疗具有独特优势,可明显缓解症状,提高患者免疫力,改善预后。
今日分享一例新型冠状病毒合并细菌、真菌复杂感染的重症肺炎病例,经中医辨证论治理论,使用中医药方治疗;同时结合西医诊断治疗,使用中性粒细胞弹性蛋白酶抑制剂(西维来司他钠)联合激素、抗感染药物等综合治疗后恢复好转的过程。
病例信息
主诉:
因“发热、咳嗽10天”于2025年10月30日入院。
现病史:
患者10天前无明显诱因出现发热,最高体温39.5℃,伴咳嗽,就诊于诊所,给予青霉素,莫西沙星,阿奇霉素抗感染治疗,症状未见好转,今日就诊于吉大一院,行肺CT示:“双肺炎症”,现为求中西医系统治疗,遂就诊于我院收入疗区治疗,现症:发热,体温39.5℃,咳嗽,咳痰,色白,质粘,发热时畏寒,汗出较多,纳差,眠尚可,小便正常,大便2日1次。
既往史:
平素健康状况一般,淋巴瘤病史5年,无规律化疗4次,有高血压病史1月,最高血压160/90mmHg;有糖尿病病史6个月;结核史数十年,否认食物药物过敏史。
查体:
T 39.5℃,P 89次/分,R 30次/分,BP 145/86mmHg
神志清楚;步入病房;口唇紫绀;呼吸急促;
呼吸急促,呼吸音稍粗,双肺未闻及明显干湿啰音,语音传导正常。
舌质红,苔黄腻,脉细数。

(舌质淡红、苔黄)
辅助检查:
血气分析(吸氧2L):PH=7.461,PCO2=34.2mmHg,PO2=59.56mmHg,Lac=2.176mmol/L,SO2%=88.0%。
血常规:白细胞4.84*10^9/L↑,淋巴细胞百分比6.6%↓,中性粒细胞百分比87.4%↑,红细胞4.1*10^12/L↓,血红蛋白116g/L↓,全程全血C反应蛋白75.85mg/L↑。
凝血常规:纤维蛋白原6.57g/L ↑
生化检查:直接胆红素8.7U/L↑ 白蛋白32.2g/L↓,谷丙转氨酶105IU/L↑,谷草转氨酶26IU/L↑,谷氨酰转肽酶559IU/L↑,碱性磷酸酶350IU/L↑,胆碱酯酶4427.00U/L↓。
核酸:新型冠状病毒抗原自测(+) A型流感病毒IgM(+)
其他:降钙素原正常、支原体衣原体、TB等理化检查正常。
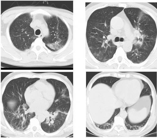
胸部CT:双肺炎症,双肺大面积片状淡磨玻璃影
(建议做支气管镜检查,患者拒绝)
入院诊断:
中医诊断:
寒湿疫
痰热壅肺证
西医诊断:
1、重症肺炎
2、新型冠状病毒感染
3、I型呼吸衰竭
4、2型糖尿病
5、肝损害
6、高血压1级
7、低蛋白血症
8、结核个人史
治疗方案:
中医方面
1、辨证给予清热化痰中药汤剂口服,方以4号方加减,具体方药如下:
黄芪50g 当归20g 生地黄30g 熟地黄15g 黄芩15g
黄连15g 黄柏15g 芦根50g 生薏苡仁30g 炒桃仁10g
炒冬瓜子10g 浙贝母15g 知母10g 赤芍30g 桔梗7g
天花粉15g 连翘20g 瓜蒌30g 青蒿30g 醋鳖甲20g
地骨皮15g
水煎取汁300ml,每次150ml,日2次口服
2、解肌宣肺颗粒,1袋,日3次口服
3、中药塌渍II号外敷双肺
西医方面
1、抗感染:头孢他啶3gQ12h静点
2、注射用西维来司他钠0.3g/日,持续24h静脉泵注
3、用甲泼尼龙琥珀酸钠40mg/日
4、清热解毒:血必净注射液50ml/日,2次静点
5、保肝:双环醇片50mg/日,3次口服
痰液NGS:

补充诊断:
1、细菌性肺炎
2、真菌性肺炎
3、病毒性肺炎
治疗更新:
1、美罗培南1gQ8h,米卡芬净钠100mg每日一次,大蒜素注射液60mg,复方磺胺甲噁唑片4片q12h;抗病毒:法维拉韦 → 奈玛特韦片/利托那韦片,3片,Q12h。
2、注射用西维来司他钠0.3g/日,持续24h静脉泵注。
3、用甲泼尼龙琥珀酸钠40mg/日,2次。
4、清热解毒:血必净注射液50ml/日,2次静点。
5、保肝:双环醇片50mg/日,3次口服。
2025-11-04 CT检查结果:双肺间质性炎性改变,双肺散在纤维条索及慢性炎症。局限性肺气肿。左肺上叶结节。

治疗1周后热退,核酸转阴,一般状态好转(舌质暗红、 苔白)
rId7
肺CT(长春中医药大学附属医院,2025-11-30):
1、双肺问质性炎性改变,与2025-11-4日前片比较 右肺中叶病变新增,余双肺病变密度减淡、范围减小,请结合临床病史、随诊复查。
2、双肺散在纤维条索及慢性炎症。
3、局限性肺气肿。
4、左肺上叶结节,定期复查。

讨论
一、对于重症肺炎,多重病原体叠加感染,如何应对?
当怀疑混合感染时,早期诊断与鉴别诊断至关重要。影像是肺部感染诊断的重要参考依据,但病原学诊断是精准治疗的关键。NGS可解决部分疑难危重特殊感染的病原学诊断。疑难重症肺部感染需要从宿主、临床资料、病原微生物特性、抗感染药物及脏器功能维持等多方结合,针对多种病原体进行治疗,做出综合判断和处理。
二、优化抗感染药物临床用药方案,抗感染疗程和降阶梯治疗如何选择?
1、控制抗感染药物疗程,首先关注以下重点因素:感染的严重程度(感染的菌量多少、毒力强弱及机体的反应程度)、感染部位、感染源的控制、微生物的特性(细菌接种量、MIC、是否有细菌生物膜、是否为胞内因素),抗生素的种类选择和剂量。
2、启动抗感染药物降阶梯,坚持三大原则:从广谱到目标,从联合到单药,从静脉到口服。
作者简介

张晓宇
长春中医药大学附属医院肺病科主治医师
吉林省中西医结合学会间质性肺疾病专业委员会委员
吉林省中西医结合学会呼吸病专委会委员
吉林省中医药学会第八届老年病专委会委员
中国防痨协会中西医结合专业分会委员
个人简介:师从全国西学中优才仕丽教授,擅长中西医结合治疗感冒、肺炎、慢阻肺、哮喘、支气管扩张、间质性肺病、肺结节等呼吸系统疾病以及恶性肿瘤的中医辅助治疗。