一例PPF合并甲流、肺孢子菌及巨细胞病毒多重感染致ARDS的救治与思考
来源:医师报作者:许巧珍
特发性肺纤维化(IPF)是一种病因不明的慢性、进行性、纤维化性间质性肺炎,其主要病理变化为肺间质内的纤维化或炎症,造成体内气体交换障碍,临床表现为呼吸衰竭或进行性呼吸困难。若患者合并重症感染,尤其是混合细菌、病毒、真菌等,则会导致肺损伤进一步加重,严重影响患者肺功能,增加治疗难度。
今日分享一例IPF(特发性肺纤维化)继发PPF(进行性纤维化性间质性肺疾病) 患者合并甲流、肺孢子菌及巨细胞病毒多重感染诱发ARDS的患者。通过经鼻高流量吸氧,联合抗细菌感染、抗病毒等,使用中性粒细胞弹性蛋白酶抑制剂——西维来司他钠进行精准抗炎后,减轻肺损伤,恢复呼吸功能的救治过程。
病例信息:
患者,男77岁,主诉: 反复咳嗽4月余,发热、气喘1天。
现病史:缘于入院4月余前无明显诱因出现咳嗽,伴胸闷,间断咳嗽,无明显气喘,无颜面红斑,无口干、眼干,无口腔溃疡,就诊当地医院行胸部CT提示间质性肺疾病,未进一步治疗。后活动后气喘,约步行100米后出现,休息后可缓解,夜间尚可平卧,伴咳嗽,咳痰,无发热、畏冷,无胸痛、心悸,无咯血、盗汗、消瘦,无下肢浮肿等不适,入院后予抗感染、激素40mg qd抗炎、平喘、吸氧对症治疗2天,患者自觉气喘好转,要求出院,劝阻无效,予办理出院。出院后自行口服中草药治疗。1天前出现发热,体温最高达39.5摄氏度,活动后气喘,约步行30米后出现,休息后缓解不明显,今为进一步诊治,就诊我院急诊,就诊拟“间质性肺炎”收住我科。本次患病以来,精神尚可,食欲欠佳,睡眠可,大小便正常,体重无明显改变。
既往体健。
个人史:长期吸烟史。
查体:
T 39.0℃,未吸氧下80%,呼吸30次/分。神志清楚,呼吸音清,双肺velcro啰音,未见技工手,未见Gottron征,未见向阳性皮疹、V字征,心律齐,心音正常,各心瓣膜听诊区未闻及杂音,腹软,无压痛、反跳痛,双下肢无浮肿,杵状指。
辅助检查:
血常规:白细胞总数13.20×10^9/L,嗜中性粒细胞总数10.83×10^9/L,血红蛋白138g/L,血小板总数179×10^9/L。C反应蛋白73.93mg/L。降钙素原0.54ng/ml。血清铁蛋白:铁蛋白624.0ng/mL。IL-6大于5000
D二聚体1609ng/mL。急诊凝血4项:凝血酶原时间12.7秒,活化部分凝血活酶时间37.9秒,纤维蛋白原4.69g/L。
肝肾功电解质:谷草转氨酶48.0U/L、谷丙转氨酶44.0U/L、钾3.64mmol/L、谷氨酰转酞酶70.0U/L、白蛋白31.90g/L、血肌酐107.30umol/L、钠129.5mmol/L。
神经元特异性烯醇化酶32.72ng/ml。细胞角蛋白19片段30.32ng/mL。癌胚抗原(CEA)正常。
呼吸道病毒谱抗体8项检测:流感病毒B型IgM抗体阳性。新冠阴性。
B型钠尿肽测定(BNP)、急诊肌红蛋白+肌钙蛋白I测定、ANA、ANCA、CCP、类风湿因子(RF)未见明显异常。

氧合指数:106mmHg
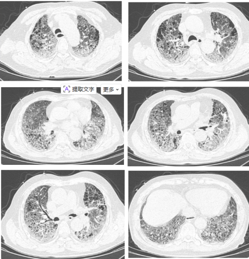
第一次入院胸部CT:


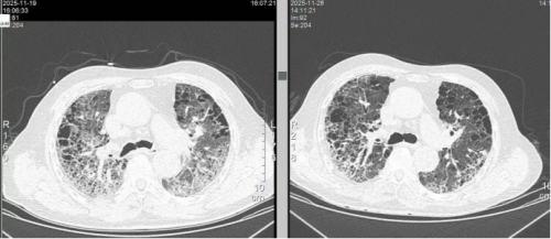
第二次入院胸部CT:

入RICU时气管镜灌洗NGS回报:

诊断:
1、特发性肺纤维化、急性进展性肺纤维化(PPF)
2、甲型流感病毒感染
3、巨细胞病毒(CMV)肺炎
4、耶氏肺孢子菌肺炎
5、流感嗜血杆菌肺炎
6、ARDS
治疗方案:
1.高流量辅助呼吸
2.“头孢哌酮舒巴坦”抗感染,复方新诺明抗PJP、“奥司他韦”抗流感病毒、“更昔洛韦”抗巨细胞病毒感染
3.甲强龙 40mg bid
4.早期应用西维来司他钠0.3g 持续泵入,连续静脉泵注10天
5.“乙磺酸尼达尼布”抗肺纤维化
6.乙酰半胱胺酸化痰、平喘对症处理。
病情变化:

氧合指数:176mmHg

复查后氧合指数:272mmHg
白细胞变化趋势:

中性粒细胞变化趋势:

降钙素原变化趋势:

CRP变化趋势:

IL-6变化趋势:

白蛋白变化趋势:

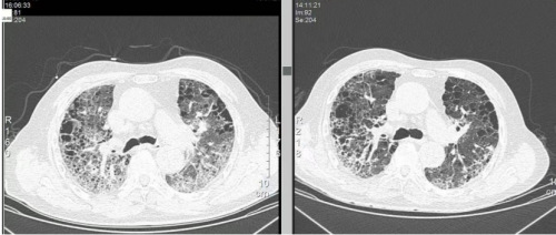
治疗后复查CT:



病例讨论
该患者存在严重肺部炎症风暴及肺泡上皮/毛细血管内皮损伤,符合西维来司他钠 “靶向抑制中性粒细胞弹性蛋白酶、减轻炎症介导的肺损伤” 的作用机制。
治疗中早期联用该药物后,患者气道分泌物减少、氧合指数逐步改善,炎症指标(CRP、PCT)呈下降趋势,未出现明显不良反应,提示在重症肺部感染合并间质性肺病急性加重所致ARDS中,西维来司他钠可通过精准抗炎作用,辅助控制肺损伤进展,为抗感染、呼吸支持等综合治疗争取时间,其在多重感染诱发的重症肺损伤中的靶向治疗价值值得临床关注。
对于特发性间质性肺炎伴急性呼吸窘迫综合征(ARDS)的患者,病例报道1显示通过小潮气量机械通气、抗生素和西维来司他钠水合物和激素冲击治疗后口服泼尼松的联合治疗方案,在2周内成功缓解了呼吸衰竭,提示西维来司他钠可能成为特发性间质性肺炎所致急性呼吸衰竭的治疗选择之一。
《急性呼吸窘迫综合征抗炎治疗中中性粒细胞弹性蛋白酶抑制剂急诊应用专家共识》2指出,对于ARDS患者,应当在诊断的同时评估氧合状况用以指导抗炎药物使用,推荐标准治疗基础上早期(至少48h内)联合应用西维来司他钠。(证据级别:中等质量;推荐级别:强推荐);对于存在ARDS高危因素的低氧血症患者应用西维来司他钠可早期改善氧合。(证据级别:低质量;推荐级别:弱推荐)。
研究3显示,中性粒细胞弹性蛋白酶抑制剂(西维来司他钠)可能通过改善肺泡上皮和血管内皮损伤、逆转中性粒细胞介导的血管通透性增加,成为治疗COVID-19相关急性肺损伤/急性呼吸窘迫综合征(ALI/ARDS)或弥散性血管内凝血(DIC)的潜在治疗选择。回顾性研究4表明,西维来司他钠可显著降低COVID-19相关ALI/ARDS患者的30天死亡率(相对风险降低88.45%),改善氧合指标,降低促炎细胞因子水平,且不增加不良反应。
参考文献
1.Imokawa S, et al. [Two cases of acute respiratory failure due to idiopathic interstitial pneumonia successfully treated with sivelestat sodium hydrate and steroid therapy][J]. Nihon Kokyuki Gakkai Zasshi, 2006, 44 (1):27-33.
2.中华医学会急诊医学分会,广东省医师协会急诊医师分会. 急性呼吸窘迫综合征抗炎治疗中中性粒细胞弹性蛋白酶抑制剂急诊应用专家共识[J]. 中华急诊医学杂志,2025,34(4):464-468.
3.Sahebnasagh A, et al. Neutrophil elastase inhibitor (sivelestat) may be a promising therapeutic option for management of acute lung injury/acute respiratory distress syndrome or disseminated intravascular coagulation in COVID-19[J]. J Clin Pharm Ther, 2020, 45(6):1515 – 1519.
4.Wang R, et al. Clinical utility of the neutrophil elastase inhibitor sivelestat for the treatment of ALI/ARDS patients with COVID-19[J]. Heliyon, 2024, 10: e3637.
作者简介

许巧珍
福建医科大学附属漳州市医院呼吸与危重症医学科
硕士 、主治医师
成都高新区医学会间质性肺疾病专委会委员
漳州呼吸学会委员
中国老年保健协会委员
主持发表多项课题