北方流感高峰下的生命保卫战,大连医大一院成功救治重症肺炎合并ARDS老年患者
来源:医师报 作者:康健 任延波
据中国国家流感中心数据显示,2025年11月初,北方省份流感病例占急诊总数比例升至5.1%,创今年当周以来新高,并且超越南方省份,说明此时此刻北方流感开始比南方省份严重。
国家疾控局在11月10日的新闻发布会上表示,国内的总体流感活动“处于上升阶段”。在流感样病例能检出流感并分型的样本中,H3N2占比近99%,其他呼吸道病原体:除流感外,常见呼吸道病原体有新冠、呼吸道合胞病毒、腺病毒等。门诊呼吸道病原体检出量靠前的是流感(呈快速上升趋势)、鼻病毒、肠道病毒(可引起呼吸道感染)。
流感的治疗主要包括对症治疗和抗病毒治疗。包括休息、多饮水、使用解热镇痛药物等。使用抗病毒药物可以缩短病程、减轻症状,并降低并发症的风险。神经氨酸酶抑制剂以奥司他韦为代表,临床应用最广泛、性价比高,适用人群广。RNA聚合酶抑制剂如罗氏的玛巴洛沙韦、昂拉地韦等,仅需服药一次,对儿童适用,可提高用药依从性、降低病毒载量和家庭内传播。
当流感进展为重症肺炎时往往合并细菌、真菌感染,出现ARDS 时增加死亡率,早期应用西维来司他钠控制炎症反应,可发挥肺保护作用。
本病例为病毒肺炎混合细菌、真菌感染,合并ARDS, 应用西维来司他钠联合抗生素、小剂量甲泼尼龙、高流量吸氧治疗重症肺炎患者,在接受了西维来司他钠联合奥司他韦、及抗细菌、真菌治疗后,病情逐步稳定并好转,避免了气管插管的老年男性患者。
病例信息
病史:
患者,男73岁,主诉: 咳嗽伴发热1周,呼吸困难2天。
患者于来院一周前,着凉后出现咳嗽,咳少量白痰,伴间断发热,最高体温38.0℃,无胸痛咯血,无腹痛腹泻,当地社区诊所予头孢菌素类药物治疗,无明显好转,出现呼吸困难,就诊于当地中心医院,行肺部CT检查示双肺呈间质性改变、呈弥漫性渗出改变。患者呼吸窘迫明显,为求进一步诊治送至我院急诊,病来精神萎靡,食欲睡眠差,大小便如常,近期体重无明显变化。
急诊予祛痰平喘、氧气吸入处置,请呼吸科会诊,考虑患者血氧饱和度低,90%左右(鼻导管吸氧5 L/min),建议收入ICU治疗。
既往史:患者既往体健,有青霉素过敏史。家住乡村。
于10月17日收入我院EICU病房,入院查体:
入院查体: 患者鼻氧管吸氧下平车入病房,查体: T 36.5℃,P 80次/分, R28次/分,BP 115/77mmHg, SpO2 90%(吸氧下)。神清,问语可答,双肺呼吸音粗,可闻及散在湿啰音,以右下肺为重;心音可,律齐,心脏各瓣膜听诊区未闻及明显病理性杂音,腹软,无压痛、反跳痛。双下肢无水肿。
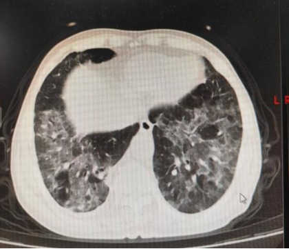
胸部CT平扫(2025.10.17):双肺多发模糊斑片影。右肺上叶点状致密影。
双肺炎症,双侧少量胸腔积液;
右肺上叶钙化灶,右肺水平裂小结节。


实验室检查:
1、血常规+CRP: C反应蛋白:67.85mg/L;
白细胞(WBC)12.09×109/L,中性粒细胞比例(NEUT)92.1%,
淋巴细胞比例(LYMPH)5.3%,单核细胞比例(MONO)2.3%,
嗜酸性粒细胞比例(EO)0.1%;
2、降钙素原测定(PCT)3.14ng/ml
3、血气分析:PH值 7.309,二氧化碳分压(PCO2)43.4mmHg,氧分压(PO2) 44mmHg , FiO₂ 41%(氧气吸入5L/min)
计算氧合指数=PaO2/FiO₂=107.3mmHg < 200mmHg
4、凝血四象:凝血酶时间(TT)13.3秒,纤维蛋白原(Fib)4.79g/L,纤维蛋白原降解产物(FDP) 5. 13mg/L , D-二聚体(D-dimer) 0. 76mg/L
5、生化:肌酸激酶(CK)31U/L,高敏肌钙蛋白I(hs-Tnl)0.070 ug/L,丙氨酸氨基转移酶(ALTV) 53U/L,白蛋白(ALB) 24.7g/L,葡萄糖(GLU)7.04mmol/L ;
6、B型利钠肽(BNP):196.98ng/L
7、电解质: K+: 4.6 mmol/L ;Na+ :131 mmol/L; Cl-:105 mmol/L
EICU诊断:
1.重症肺炎 2.ARDS 3.Ⅰ型呼吸衰竭 4.心肌损害 5.电解质代谢紊乱 低钠血症 6.低蛋白血症 7.凝血功能异常
治疗方案:
1.重症监护,监测重要生命体征。
抗生素:经验性予美罗培南1.0gq8H静点;
患者胸部CT间质性改变,弥漫渗出,考虑病毒性感染可能,予奥司他韦75mgbid口服。
控制炎症:小剂量甲泼尼龙;40Mgbid静点。
2.呼吸支持:高流量持续氧疗(HFNC),流速50L/min,FiO2 60%,氨溴索化痰,勤翻身叩背促进痰液引流,监测患者呼吸及氧饱情况;
3.完善相关病原学检查。
4.其他治疗:重要脏器保护奥美拉唑抑酸护胃;营养支持;适当补充离子,纠正水电解质紊乱。
病原学检查回报:
一般细菌+真菌涂片:查到G-杆菌;查到假菌丝;查到酵母样菌
呼吸道细菌、真菌、支原体等24项核酸:白色念珠菌(+)
巨细病毒IgG抗体(CMV IgG) 139.400 U/ml
EB病毒核心抗原IgG坑体 249.8 U/ml
EB病毒衣壳抗原IgG抗体 82.0 U/ml
抗流感病毒A型IgM抗体 阳性
抗流感病毒B型IgM抗体 阳性
曲霉丰乳甘露聚糖(IgG抗体)230.12 Au/ml
痰培养:念珠菌生长(++)
病情变化:
患者同时合并细菌、真菌、病毒病原体感染,病情复杂,经初始治疗后氧合指标、呼吸窘迫症状无明显改善。
调整治疗方案:(2025.10.18):
西维来司他钠 0.4g,24h持续静脉泵入, 疗程5天
美罗培南 1.0 q8h 静点
奥司他韦 0.75 bid 口服
伏立康唑 0.4 bid 静点
继续高流量吸氧
病情演变:
患者咳嗽咳痰较前明显好转,体温36.5℃-36.8℃,呼吸窘迫明显缓解;血氧饱和度维持在95%以上。
查体:肺部听诊双肺呼吸音粗,散在细湿啰音较前明显减轻。
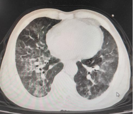
胸部CT平扫(2025.10.21):

氧合及炎症指标变化(折线图):


患者于2025年10月21日停止高流量吸氧,改为鼻导管吸氧,22日从ICU转入普通病房继续治疗。
10月23号调整治疗方案:
停用西维来司他钠 (5天疗程)
治疗感染:
左氧氟沙星 0.5 qd 静点
伏立康唑 0.4 bid 静点
低流量吸氧 3l/min 血氧饱和度 95%-100%间
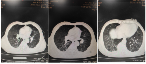
胸部CT平扫(2025.10.27):

10月28号出院,回当地医院随诊。
病例总结
病毒感染后,非常容易合并细菌、真菌感染,尤其是病程比较长(1周以上)的患者。在感染病毒3 d后。临床研究表明,重症病毒性肺炎合并细菌感染的发病率可达20%~30%,病程较长者发病率可达50%。同时病毒性肺炎继发真菌感染的发病率和致死率均较高。肺部真菌感染是发生于免疫受损人群的条件致病真菌感染,病原菌为曲霉、念珠菌、肺孢子菌、隐球菌和毛霉等,其中曲霉最为常见。真菌合并感染多出现于重症患者中。Lancet Respir Med 杂志刊登的研究证实重症流感是IPA的独立高危因素,重症流感患者的IPA发病率为19%,死亡率高达51%。其原因主要是病毒感染会引起机体免疫力下降,出现淋巴细胞计数减少,呼吸道廓清能力下降。如果是老年人,合并糖尿病、肾功能不全、心力衰竭等基础疾病或免疫缺陷性疾病,病毒感染后合并细菌、真菌感染的发病率更高,并发症严重时可危及生命。
病程早期,病毒大量快速复制。若不及时干预,将导致机体的免疫系统被过度激活,免疫平衡被打破,促炎细胞因子过度产生和释放,引发细胞因子风暴。所以,疾病初期病毒大量复制,导致免疫系统过度激活;疾病后期的病情走势与免疫系统是否恢复平衡密切相关。西维来司他钠主要作用为抑制肺损伤,改善肺功能,减轻炎性反应。同时,药物能有效抑制肺上皮细胞及内皮细胞产生的炎性细胞因子,减少细胞因子刺激中性粒细胞释放弹性蛋白酶,打破肺损伤机制的恶性循环。西维来司他钠能降低ICU不同疾病合并ARDS患者炎性因子水平,且多数患者能获得良好治疗预后。
在急诊科与危重症医学科,重症病毒性肺炎患者较多,合并细菌、真菌感染的发病率也很高,因此在救治过程中,联合应用抗生素被广泛应用。早期经验性治疗、及时调整治疗方案对患者的预后至关重要。
作者简介

康健
大连医科大学附属第一医院急诊科主任/急诊医学教研室主任
医学博士,主任医师/教授,博士研究生导师
中华医学会急诊医学分会中西医结合急救学组副组长
中华医学会急诊医学分会危重病专业学组委员
中国医师协会急诊医师分会常务委员
中国老年医学学会急诊医学分会副会长
辽宁省医学会急诊分会副主任委员
大连市医学会急诊分会主任委员

任延波
大连医科大学附属一院EICU主任医师 教授
中国医师协会急救复苏与灾难医学专委会委员
中国医疗保健国际交流促进会胸痛分会委员
辽宁省中西医结合组委会急诊分会委员
民盟辽宁省卫生与健康专委会委员
民盟大连市医药专委会副主任
2006年获得辽宁省政府科学技术三等
2016年获得辽宁省及全国“住院医师心中的好老师”荣誉称号
2020获第四届“全国白求恩式好医生”荣誉称号
2021年获辽宁省抗击新冠肺炎先进个人荣誉称号