老年、糖尿病、ARDS,一例复杂甲流重症肺炎的闯关记
来源:医师报 作者: 胡铁
甲型流感病毒传播性强、变异活跃,流行季易引发重症感染,重症肺炎为其常见严重并发症,可快速进展为呼吸衰竭、多器官功能障碍,甚至危及生命,显著增加临床救治难度与病死率,是重症医学科临床诊疗的重点与难点。流感相关重症肺炎病理生理机制复杂,常伴随炎症风暴介导的肺损伤,且临床诊疗中涉及早期识别、抗病毒与抗炎治疗、呼吸支持策略选择等多个关键决策节点,个体化处置方案直接影响患者预后。
流感的治疗主要包括对症治疗和抗病毒治疗。对症治疗包括休息、多饮水、使用解热镇痛药物等。使用抗病毒药物可以缩短病程、减轻症状,并降低并发症的风险。抗病毒药物应在症状出现后的 48 小时内使用,以获得最佳效果。目前常用的流感抗病毒药物包括磷酸奥司他韦和玛巴洛沙韦。
当甲流进展为重症肺炎、ARDS时,西维来司他钠可用于发挥肺保护作用。本病例为应用西维来司他钠,俯卧位治疗甲型H3N2流感重症肺炎患者。
病例信息
病史:
患者,女60岁,因咳嗽气促发热1天余,并伴有一般体力活动时气促不适,自觉发热,有胸闷不适,查胸部CT示双肺多发斑片状高密度影,血气分析提示I型呼吸衰竭,于2025年11月21日诊断为重症肺炎I型呼吸衰竭ARDS收入我科。
既往史:
既往有“2型糖尿病”病史,家属诉近期血糖控制欠佳;有“甲亢”病史,家属诉控制可;有“高血压”病史。
查体:
T:37℃,CP:155次/分,R:30次/分,BP:130/175mmhg SP02:84%(高流量氧疗,氧浓度100%)神清语利,口唇发绀,双侧颈静脉无怒张,双肺呼吸音粗,双肺可闻及少许啰音。心尖搏动位于第五助间左锁骨中线内0.5cm处,无震颤,心界无扩大,心率155/分,律齐,无杂音,周围血管征阴性。腹平软,全腹无压痛及反跳痛,双肾区无叩痛,移动性浊音阴性,肠呜音4次/分,双下肢无水肿。
辅助检查:
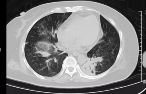
2025.11.21
胸部+上腹部CT:1、两肺感染,左肺下叶支气管内粘液栓,建议治疗后复查,2、两肺多发结节(LU-RADS 2、3类),间隔3-6个月随诊。3、左心室增大,主动脉硬化,主动脉瓣膜钙化。4、甲状腺左叶钙化灶,调结合超声。5、左肾积气,请结合临床,建议进一步检查。6、双肾小结石。7、升结肠肠腔内软组织密度影:肠内容物?占位?建议复查或者内径检查。
血气分析(吸氧浓度100% ), pH值7.46,二氧化碳分压24mmHg,氧分压51mmHg,钙离子1.15mmol/l, 血糖27.8mmol/l, 乳酸3.8mmol/l。
血常规+超敏C反应蛋白:超敏C反应蛋白:280.17mg/L↑,白细胞计数*:11.54*10*9/L↑,中性粒细胞计数:10.69*10*9/L↑,血小板计数:403*10*9/L↑,血小板压积:0.37%。
肝功能:尿素:18.24mmol/L↑,谷丙氨酸氨酶:9.2U/L,谷草转氨酶:15.8U/L,肌酐:141.2μmol/L↑,尿酸:737.9μmol/L↑,乳酸脱氢酶:337.5U/L↑,总胆红素:6.7μmol/L,直接胆红素:3.2μmol/L,间接胆红素:3.5 μmol/L,总蛋白:63.9↓g/L,白蛋白:27.3↓g/L,球蛋白:36.6g/L↑,白球比值:0.7。
C反应蛋白 280.17mg/L
血常规:白细胞计数 11.54*109/L,淋巴细胞百分比4.4%,中性粒细胞百分比92.7%,中性粒细胞计数10.69*109/L
甲功三项: 游离三碘甲状腺原氨酸3.17pmol/l, 游离甲状腺13 pmol/l,促甲状腺0.746uu/ml
甲流+乙流+新型冠状病毒核酸检测:甲型流感病毒核糖核酸28.68/阳性(+),乙型流感病毒核糖核酸阴性,新型冠状病毒核酸检测阴性。
诊断:
重症肺炎(甲型流感病毒);急性呼吸窘迫综合征(重度);I型呼吸衰竭;2型糖尿病;高血压高血压。
治疗方案
镇静镇痛:瑞芬太尼针 4mg+咪达唑仑注射液 50mg+环泊酚150mg。
抗病毒:玛巴洛沙韦片(速福达) 40mg 鼻饲。
控制炎症:西维来司他钠0.4g,24小时持续静脉泵注,连续使用五天(11.21-11.25)。
呼吸支持:气管插管辅助呼吸+俯卧位通气。
抗感染:亚胺培南西司他汀(2.0g q8h)联合利奈唑胺(0.6gq12h)。
其他治疗包括:营养支持,控制血糖,补液,补充白蛋白,维持水电解质平衡等对症支持治疗。
病情变化:
经过11月21日到11月29日8天抗感染、抗炎、俯卧位通气治疗患者病情好转,吸氧浓度下调,氧合指数得到改善
2025.11.21
胸部影像学

2025.11.23
C反应蛋白>320.00mg/,白细胞计数10.68*109/L,淋巴细胞百分比12%,中性粒细胞百分比 86.8%,中性粒细胞计数 9.27*109/L,降钙素原 2.89ng/ml
11.24
c反应蛋白>320.00mg/,白细胞计数11.41*109/L,淋巴细胞百分比17%,中性粒细胞百分比 85.9%,中性粒细胞计数 9.81*109/L
11.25
C反应蛋白241.9mg/L,白细胞计数9.74*109/L,中性粒细胞百分比 81%,中性粒细胞计数7.89*109/L
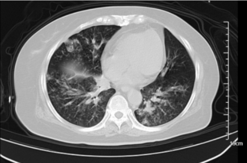
2025.11.26
C反应蛋白189.42mg/L,白细胞计数9.22*109/L,中性粒细胞百分比 74.2%,中性粒细胞计数6.85*109/L
胸部影像学

2025.11.27-11.29
改为经鼻高流量
2025.11.29
转出ICU
2025.11.21-2025.11.29 氧合指数变化曲线图

2025.11.21-2025.11.29 C反应蛋白变化曲线图

2025.11.21–2025.11.29日体温变化

2025.11.22肺泡灌洗液NGS结果

总结
甲流合并重症肺炎、ARDS应用西维来司他钠可获得良好效果,能改善患者呼吸功能,降低炎性指标水平,有助于改善患者疾病转归。有研究表明,西维来司他钠主要作用为抑制肺损伤,改善肺功能,减轻炎性反应。同时,药物能有效抑制肺上皮细胞及内皮细胞产生的炎性细胞因子,减少细胞因子刺激中性粒细胞释放弹性蛋白酶,打破肺损伤机制的恶性循环。西维来司他钠能降低ICU不同疾病合并ARDS患者炎性因子水平,且多数患者能获得良好治疗预后。分析原因: 西维来司他钠能选择性阻断弹性蛋白酶对于细胞外基质和上皮连接机构的降解,有助于缓解机体内的炎性反应,从而能获得良好的治疗预后。
俯卧位通气是治疗中重度ARDS的一项里程碑式的疗法。它通过改变重力对肺部和胸腔内器官的影响,使通气血流比重新匹配,从而改善氧合、保护肺脏、最终降低患者死亡率。
该例患者为西维来司他钠联合俯卧位通气治疗成功的一例ARDS患者,早期诊断,早期用药(48小时内用药)早期联合治疗,预后良好。希望能为这一类患者提供一些治疗经验。
作者简介

胡铁
医学硕士 郴州市第一人民医院呼吸与危重症医学科住院医师
擅长各类呼吸系统急慢性疾病以及急危重症-重症肺炎,ARDS,脓毒症等的诊断和治疗