甲流引发ARDS,危急时刻,它联合俯卧位治疗成功救回患者!
来源:医师报 作者:温继梨
近期我国流感病毒活动明显上升,在国家疾控局 2025年11 月 10 日举办的发布会上,研究员指出,流感流行高峰一般出现在 12 月中下旬和 1 月初。病原学监测结果显示,当前仍以甲型流感为主,且主要的流感病毒毒株为 H3N2,占甲型流感中的 98.2%。甲型流感病毒造成的流感死亡率最高,是季节性和大流行性流感暴发的最常见原因,感染患者会出现咳嗽、发热、头痛和肌痛等症状,免疫功能低下患者可能发生更严重的疾病。伴随流感毒株的高度可变性而来的,是人体难以对流感病毒形成持久免疫力,因此人群普遍易感。全球每年约有 10 亿人感染流感病毒,其中 300 万~500 万为重症病例,29 万~65 万患者因流感死亡。
流感的治疗主要包括对症治疗和抗病毒治疗。对症治疗包括休息、多饮水、使用解热镇痛药物等。使用抗病毒药物可以缩短病程、减轻症状,并降低并发症的风险。抗病毒药物应在症状出现后的48小时内使用,以获得最佳效果。目前常用的流感抗病毒药物包括磷酸奥司他韦和玛巴洛沙韦。
当甲流进展为重症肺炎、ARDS 时,西维来司他钠可用于发挥肺保护作用。本病例为应用西维来司他钠联合甲强龙,俯卧位治疗甲型H3N2流感重症肺炎患者。
病例信息
病史:
患者,男71岁,因黄疸于10月22日由门诊收入院,入住肝胆外科后检查发现胆道炎症后转入感染科,消化内科继续治疗。于11月8日出现高热,完善甲流检查阳性,后于11月10日出现呼吸困难,发绀,血氧下降,高流量氧疗维持后转入EICU治疗。
既往史:
痛风长期服用秋水仙碱,双lǜ芬酸钠等药物治疗。糖尿病史多年。
EICU查体(11月10日):
T:37℃,BP:134/80mmhg,HR:90次/分,RR:20次/分。SpO2:93% (FiO2:60%),神情语利,全身黄染,口唇紫绀,心音有力,律齐,各瓣膜区未闻及病理性杂音,双肺呼吸音粗,可闻及干湿啰音。腹软,无压痛。四肢活动正常。
辅助检查(11月10日):
血气分析:PH:7.35,PO2:50mmhg,PCO2:40mmhg,FiO2:60%,氧合指数:83mmHg
甲流(+),血常规:WBC:31.16*109/L,PLT:46*109/L. 肝功:总胆红素:401.2umol/l. PCT:3.933ng/ml.
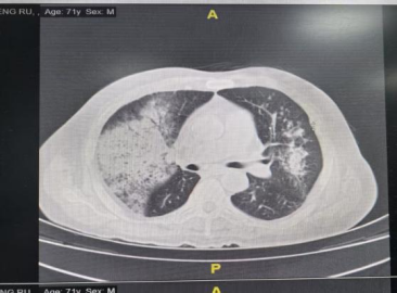
胸部CT:双肺炎症。
EICU诊断:
重症肺炎,ARDS,甲型流感感染,胆汁淤积性黄疸,胆囊炎,药物性肝损伤?痛风 ,2型糖尿病。
治疗方案:
抗生素:美罗培南1.0gq8H静点联合左氧氟沙星0.4gQD静点。
抗病毒:奥司他韦75mgbid口服。
控制炎症:甲强龙40Mgbid静点。西维来司他钠0.3g,24小时持续静脉泵注。
呼吸支持:高流量(吸氧浓度60%,流量60L/min)+俯卧位通气
其他治疗:保肝,祛黄,人工肝。营养支持治疗。
病情变化:
经过11月10日到11月16日1周抗感染治疗患者病情好转,吸氧浓度下调,氧合指数改善,后转回消化内科继续保肝治疗。
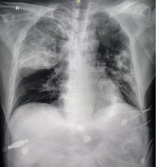
胸部CT变化:
11月10日:





11月19日:


总结
甲流合并重症肺炎、ARDS应用西维来司他钠可获得良好效果,能改善患者呼吸功能,降低炎性指标水平,有助于改善患者疾病转归。有研究表明,西维来司他钠主要作用为抑制肺损伤,改善肺功能,减轻炎性反应。同时,药物能有效抑制肺上皮细胞及内皮细胞产生的炎性细胞因子,减少细胞因子刺激中性粒细胞释放弹性蛋白酶,打破肺损伤机制的恶性循环。西维来司他钠能降低ICU不同疾病合并ARDS患者炎性因子水平,且多数患者能获得良好治疗预后。分析原因: 西维来司他钠能选择性阻断弹性蛋白酶对于细胞外基质和上皮连接机构的降解,有助于缓解机体内的炎性反应,从而能获得良好的治疗预后。
俯卧位通气是治疗中重度ARDS的一项里程碑式的疗法。它通过改变重力对肺部和胸腔内器官的影响,使通气血流比重新匹配,从而改善氧合、保护肺脏、最终降低患者死亡率。
该例患者为西维来司他钠联合俯卧位通气治疗成功的一例ARDS患者,早期诊断,早期用药(48小时内用药)早期联合治疗,从而避免气管插管,预后良好。希望能为这一类患者提供一些治疗经验。
作者简介

温继梨
内蒙古医科大学附属医院EICU主任医师,医学博士,硕士研究生导师
内蒙古医院协会博士管理分会委员
中国医学教育题库急诊科评审委员会委员
内蒙古自治区营养学会委员
内蒙古自治区分子生物学学会委员
内蒙古自治区医学会医疗事故技术鉴定专家库成员及预防接种异常反应鉴定专家库成员
内蒙古自治区科学普及协会专家库成。
擅长各类急危重症-ARDS,MODS,脓毒症,各类休克,心血管重症等的诊断和治疗
主持并参与多项国家级课题和省部级课题
发表SCI数篇,完成多部专业著作