肺炎克雷伯杆菌联合呼吸道合胞病毒感染的病例分享
来源:医师报 作者:吕丁丁
重症肺炎可能由细菌、病毒或混合感染引起,表现为高热、呼吸困难、发绀等症状,需根据病原学检查结果针对性用药。当细菌与病毒同时感染肺部引发肺炎时,治疗需采取综合策略,兼顾抗细菌和抗病毒治疗,并结合氧疗和其他支持措施。人呼吸道合胞病毒(RSV)是引起人类下呼吸道感染的主要病原体。特别在婴幼儿及老年人等高危人群中,RSV所致的下呼吸道感染是住院的最常见原因之一1。
今日分享一例因肺炎克雷伯杆菌联合呼吸道合胞病毒感染导致重症肺炎的老年男性患者,经西维来司他钠联合抗生素、白蛋白等综合治疗后,恢复精神状态,可正常进食并下床活动。
病例信息
主诉:老年男性,63岁,因”间断性血尿伴发热5天” 于2025年10月15日入院。
现病史:患者家属诉入院前5天不明诱因出现肉眼血尿,并伴有发热,最高体温38.2℃,在当地诊所行对症治疗。因患者尿频,排尿困难,血尿症状出现,在家留置到尿管对症治疗后血尿症状加重,急诊”血尿”收入泌尿外科。住院1天后患者呼吸困难,精神萎靡,完善肺ct显示肺部感染,故转入我科。
既往史:2013年因脑血栓住院治疗;2015年因脑出血在住院治疗,现右下肢活动差;冠心病病史3年,先后行2次心脏支架手术,术后未规律应用药物治疗;高血压病史7年,血压最高180/100mmHg,口服氨lǜ地平片,血压控制尚可;否认糖尿病史,否认肝炎、结核等传染病病史。无药物过敏史。
重要体征:患者一般状态差,呼吸急促,发热,昏睡,呼之能应,反应迟钝。
T 36.0℃,P 98次/分,R 22次/分,BP 130/60mmHg,外周血氧饱和度90%(10L/min吸氧)。
发育正常,营养中等,自动体位,查体合作,神清语明,口唇发绀,浅表淋巴结未触及肿大,颈静脉无怒张,双肺呼吸音清,可闻及痰鸣音,心率98次/分,律齐,未闻及病理性杂音,腹平软,肝、脾未触及肿大,无肌紧张,无腹部压痛及反跳痛,下肢未见浮肿。
辅助检查:
血气分析:pH值 7.44,二氧化碳分压37mmHg,氧分压55.00mmHg,钠(血气) 141.00 mmol/L,钾 3.4mmol/L,离子钙1.03mmol/L,葡萄糖(血气)13.0mmol/L,乳酸2.3mmol/L,红细胞压积43%,血浆碳酸氢根浓度25.1mmol/L,实际剩余碱1.1mmol/L,氧饱和度89%;
血常规:白细胞 17.6 10^9/L、淋巴细胞 0.24 10^9/L↓、血小板 138.0 10^9/L、中性粒细胞% 97.2 %↑。
血沉 98 mm/h↑;白蛋白(急) 24.54 g/L↓
肾功能:尿素氮 13.9 mmol/L↑、总胆红素(急) 82.58 umol/L↑。N-末端脑钠肽 1760.00 pg/ml↑;D二聚体 24770.00 ng/ml↑。
全腹CT:胆囊增大。左侧肾上腺增粗。双肾囊性灶。右肾小结石可能。
头核磁:1. 右侧额叶、双侧放射冠多发急性期或亚急性期脑梗死灶。2. 多发腔隙性脑梗死;3. 右侧颞顶叶陈旧性病变。4. 脑白质疏松。5. 老年性脑改变。
痰基因:肺炎克雷伯杆菌、呼吸道合胞病毒 。
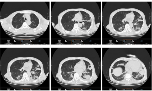
10.15日胸部CT:肺内多发炎症,支气管炎。双肺上叶局限性气肿。双侧胸膜增厚。纵隔稍大淋巴结。

临床诊断:
重症肺炎
肺炎克雷伯杆菌感染
呼吸道合胞病毒感染
I型呼吸衰竭
冠心病
陈旧性心肌梗死
心功能II级
冠脉支架术后
急性脑梗死
尿潴留
低蛋白血症
治疗方案:
美罗培南1.0 tid 静点
替加环素 50mg每12小时次静点
西维来司他钠 0.4g 24小时持续静脉泵注,7天
人血白蛋白10g每日一次静点
丹红、肌氨肽苷营养神经
复查血常规(2025-10-18):白细胞 9.51 10^9/L↑、高敏CRP 102.65 mg/L↑、中性粒细胞 8.37 10^9/L↑、中性粒细胞% 88.0 %↑。 (2025-08-01)!:高敏CRP(超敏):白细胞 4.23 10^9/L、高敏CRP 8.63 mg/L、血红蛋白 99.00 g/L↓白蛋白(急) 19.89 g/L↓、胆碱酯酶(急) 2331.00 U/L ↓。
疾病转归:
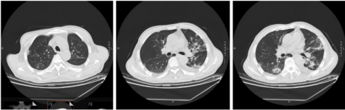
10月26日复查肺ct略有吸收,局部形成空腔。少量胸腔积液。
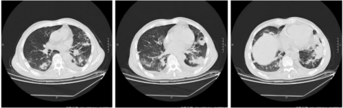
11月3日复查肺ct:炎症局部略有吸收,空洞变化不大。

10.26肺ct


11.3 肺ct
患者精神状态明显好转,正常进食。可下床活动。
讨论
《急性呼吸窘迫综合征抗炎治疗中中性粒细胞弹性蛋白酶抑制剂急诊应用专家共识》2指出,对于ARDS患者,应当在诊断的同时评估氧合状况用以指导抗炎药物使用,推荐标准治疗基础上早期(至少48h内)联合应用西维来司他钠。对于存在ARDS高危因素的低氧血症患者应用西维来司他钠可早期改善氧合。
临床研究3-4显示,西维来司他钠可能通过改善肺泡上皮和血管内皮损伤、逆转中性粒细胞介导的血管通透性增加,降低炎症因子水平,改善氧合指数,从而降低相关ALI/ARDS患者的30天死亡率。
参考文献
1.中华医学会儿科学分会临床药理学组,中华预防医学会疫苗临床研究专业委员会,广东省钟南山医学基金会. 人呼吸道合胞病毒下呼吸道感染治疗及预防指南(2024版)[J]. 中华医学杂志,2024,104(42):3867-3888.
2.中华医学会急诊医学分会,广东省医师协会急诊医师分会. 急性呼吸窘迫综合征抗炎治疗中中性粒细胞弹性蛋白酶抑制剂急诊应用专家共识[J]. 中华急诊医学杂志,2025,34(4):464-468.
3.Sahebnasagh A, et al. Neutrophil elastase inhibitor (sivelestat) may be a promising therapeutic option for management of acute lung injury/acute respiratory distress syndrome or disseminated intravascular coagulation in COVID-19[J]. J Clin Pharm Ther, 2020, 45(6):1515 – 1519.
4.Wang R, et al. Clinical utility of the neutrophil elastase inhibitor sivelestat for the treatment of ALI/ARDS patients with COVID-19[J]. Heliyon, 2024, 10: e3637.
作者简介

吕丁丁
主治医师,医学博士
吉林市中心医院呼吸科二科医生
吉林省支气管哮喘专科委员会委员
吉林省医疗保障协会呼吸病学专业委员
吉林省健康管理学会间质性肺疾病专业委员会委员
吉林市感染性疾病指控中心委员