濒危重生,一例儿童重症肺炎合并重度ARDS的救治经验与启示
来源:医师报 作者:赵猛 李青梅 王成刚 丁磊 丁哲 赵银枝 沈俊虎
肺炎是儿童常见呼吸系统疾病,是全球 5 岁以下儿童感染性疾病发病和死亡的主要原因。2019 年全球 5 岁以下儿童中约有 74 万死于肺炎1 。确诊感染性肺炎后,临床出现下列任何一项危险征象或低氧血症,即为重症肺炎。综合国内外多个指南的阐释,危险征象包括拒食、持续呕吐、抽搐、嗜睡或昏迷,氧饱和度<0.92(海平面上)或中心性发绀,严重呼吸窘迫(呻吟、胸壁严重吸气性凹陷);对于<2 月龄患儿,危险征象还包括胸壁吸气性凹陷及呼吸频率≥60 次/min,重症肺炎的发生与出生缺陷、免疫功能低下以及其他基础疾病等因素有关 2 。早期识别、及时转诊、规范化的呼吸与全身支持、以及系统性的康复随访是降低儿童重症肺炎死亡率和改善预后的关键措施。
病例信息
主 诉:
患儿,16 月,因“ 咳嗽 56 天,发热、喘息 43 天,机械通气 41 天 ”于 2025年 5 月 13 日转入我院 EICU 治疗。
现病史:
患儿于 2025 年 3 月 21 日无明显诱因出现阵发性连声咳嗽,伴咳痰,于当地医院就诊,予静脉滴注“ 阿奇霉素 ”及“ 甲泼尼龙琥珀酸钠 ”治疗 5 天。
2025 年 3 月 31 日,患儿出现发热,体温最高达 38.8℃ , 每日热峰约 2 次,同时出现喘息,咳嗽症状持续。外院血常规检查提示白细胞计数 12.9 × 10⁹/L ,淋巴细胞比率 63.3% ,超敏 C 反应蛋白 12.3mg/L;腺病毒检测阳性;胸部影像学显示支气管感染表现。经静脉药物治疗(具体方案不详)后,患儿发热、咳嗽及喘息症状未见好转,并出现轻度呼吸困难。
发病约 2 天后(2025 年 4 月初),患儿转诊至济南市某医院。入院时查体:呼吸急促,三凹征阳性,双肺可闻及喘鸣音及湿性啰音。立即予无创呼吸机辅助
通气,并予静脉滴注“ 阿莫西林克拉维酸钾 ”抗感染、“甲泼尼龙(2mg/kg/d)”抗炎、“人免疫球蛋白 20g ”免疫支持及“氨溴索 ”化痰;同时辅以口服“红霉 素 ”及雾化“干扰素、布地奈德 ”治疗。
2025 年 4 月 3 日,患儿病情再次急性加重,出现明显呼吸困难、喘息,伴口唇发绀,监测血氧饱和度下降至 88% ,动脉血气分析提示严重低氧血症(PO2 52.7mmHg)。遂紧急行气管插管接呼吸机辅助通气,并转入儿科重症监护病房(PICU)。调整抗感染方案为静脉“哌拉西林他唑巴坦 ”及“ 复方磺胺甲恶唑 ”,并再次输注“人免疫球蛋白 20g ”。行头颅+胸部 CT 检查示:部分脑外液腔隙略宽;双肺弥漫性间实质性病变伴部分实变、空气潴留;纵隔积气、双肺部分肺间质积气及胸部软组织积气;双肺下叶部分支气管远端欠通畅。肺泡灌洗液病原微生物高通量测序回报:流感嗜血杆菌、医院不动杆菌、人副流感病毒 3 型及白色念珠菌混合感染。经上述处理后,患儿病情短暂好转,于 2025 年 4 月 22 日尝试拔除气管插管,改无创 CPAP 辅助呼吸(参数:PEEP 8.0cmH2O, FiO2 80%)。但撤机后患儿氧合难以维持,呼吸困难再现,遂于 2025 年 4 月 24 日再次行气管插管呼吸机辅助通气。
为寻求进一步治疗,患儿于 2025 年 4 月 25 日转至北京某医院。入院后检测人副流感病毒核酸(+ ),呼吸道病原检查仍提示白色念珠菌。治疗上延续“左氧氟沙星 ”抗感染、“ 甲强龙(2mg/kg/d) ”抗炎,并予限液、利尿、镇静镇痛及内环境稳定等支持治疗。2025 年 5 月 5 日,实验室检查发现血清 KL-6(涎液化糖链抗原)水平显著升高,结合病史及影像学改变,临床考虑存在继发性肺纤维化,加用“ 吡非尼酮 ”抗纤维化治疗。
然而,患儿病情持续未见显著改善,氧合指数仍徘徊于 60mmHg 左右的低水平。北京及杭州专家均建议行肺移植术。面对前期治疗的无效和极差的预后,家属在近乎放弃的状态下,于 2025 年 5 月 13 日将患儿转入我院 EICU 。此次转院的主要目的,是寻求有限的医疗干预(呼吸机支持)以短期维持生命,为后续计划离院回家创造条件。
既往史
足月顺产,既往体健,无免疫缺陷及遗传代谢病。
体格检查:
患儿镇静镇痛下 Ramsay 评分 3 分,经口气管插管接呼吸机辅助通气(PRVC
模式,FiO2100%,PEEP 5cmH2O ,潮气量 70mL),未用血管活性药物。心电监护:HR 167 次/分,SpO290%,ABP 65/53mmHg,RR 48 次/分。时有烦躁,前囟闭合,颈软无抵抗,双侧瞳孔等大等圆、直径 3mm 、对光反射迟钝;双前臂肤色暗红,全身散在红色皮疹及瘀斑,三凹征阳性;双肺呼吸音粗,可闻及密集干湿啰音,双侧胸腔闭式引流在位;四肢肿胀以手足为著,肢端暖,CRT(毛细血
管再充盈时间)1-2s ,双侧巴氏征阳性。辅助检查:(滨州市中心医院 2025-5-13)
血常规: 白细胞计数 18.66×109/L ↑ , 红细胞计数 2.52×1012/L ↓ , 血红蛋白测定 75g/L ↓ , 中性粒细胞计数 9.8×109/L ↑。生化检验:总胆固醇测定 6.31mmol/L ↑ , 甘油三酯测定 6. 19mmol/L ↑ , 乳酸脱氢酶测定 310u/L ↑ , 超敏 C 反应蛋白4.74mg/L ↑ , 钠测定 133.0mmol/L ↓ 。炎症三项 :IL-6 106.65pg/mL ↑ , SAA
17.21mg/L ↑ , PCT 0.2ng/mL ↑ 。血气分析(吸氧浓度 100%):PH 7.014 ,PO2 64.4mmHg ,PCO2 101mmHg ,Na+ 142mmol/L ,K+3.8mmol/L ,Lac 0mmol/L , HCO3- 19.8mmol/L ,BE -5.3mmol/L 。氧合指数 64.4mmHg。
入院前检查报告:
2025-05-03 咽拭子真菌培养: 白念珠菌。
2025-04-29 支气管灌洗液全病原宏基因组学检测:纹带棒杆菌(序列数 273)、嗜麦芽窄食单胞菌(序列数45)、鲍曼不动杆菌(序列数30)、流感嗜血杆菌(序列数 14),拟平滑念珠菌(序列数33),人类疱疹病毒 4 型(特异序列数9)、人呼吸道病毒 3 型(特异序列数 880)。
KL-6:4530U/mL
诊断:
1.重症肺炎(腺病毒+人副流感+ 白念珠菌混合感染)
2. 急性呼吸窘迫综合征(重度)
3.弥漫性肺间质纤维化(急性进展性)
4.肺性脑病
5.双侧气胸引流术后
6. 中度贫血。
诊疗经过
本例患儿救治过程波折,根据其病情演变及治疗重点,可划分为以下四个关
键阶段。整个救治过程依托多学科协作,贯彻了以肺保护为核心的综合救治策略。第一阶段:入科抢救与生命支持(2025 年 5 月 13 日-5 月 14 日)
此阶段核心目标为稳定生命体征,纠正致命性低氧血症和循环衰竭。
1. 呼吸支持策略调整: 入院后立即发现容控通气模式下气道峰压过高( >40 cmH2O),遂迅速调整为 SIMV+PSV 模式,此举成功将气道峰压降至 29cmH2O,有效降低了呼吸机相关肺损伤风险。因存在双侧胸腔闭式引流,俯卧位通气受限,故采用高侧卧位通气作为替代肺复张手段。
2.循环与内环境管理:针对严重贫血(血红蛋白 62g/L)紧急输注红细胞悬液,将携氧能力提升至安全水平(Hb>100g/L)。同时,面对全身显著水肿,严格执行液体负平衡策略,通过限液和利尿减轻心脏负荷和组织水肿。
3.突发险情应对:5 月 14 日晨,患儿突发呼吸心跳骤停,立即予心肺复苏成功。分析原因与肺顺应性差致通气不足、严重酸中毒及低氧血症相关。此次事件后,治疗方案全面升级:
(1) 抗感染升级:调整为卡泊芬净+头孢哌酮舒巴坦,覆盖潜在耐药菌及真菌。
(2) 强化抗炎与肺保护:加用甲泼尼龙抑制炎症风暴,并持续泵入西维来司他钠,靶向抑制中性粒细胞弹性蛋白酶,以减轻肺实质损伤。
(3) 持续器官支持:维持镇痛镇静、肠内营养等基础支持。
第二阶段:病情稳定与器官功能维护(2025 年 5 月 15 日- 6 月 13 日)
经初期积极干预,患儿生命体征趋于稳定,治疗重点转向持续肺保护和并发症处理。
1. 呼吸功能缓慢改善:第一次西维来司他钠(5 月 13 日 -5 月 26 日),呼吸机参数逐步下调,FiO2 由 100%逐渐降至 40%,血气分析提示氧合改善(见图 1) 。
图1
图 2
2.抗肺纤维化治疗:持续应用吡非尼酮及乙酰半胱氨酸,对抗肺部纤维化进程。
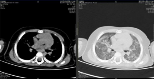
3.并发症识别与处理:5 月 28 日复查 CT 显示双肺炎症较 5 月 14 日明显吸收,印证治疗有效(见图3)。但同期发现双肾结石或钙化灶,经评估后考虑与药物等因素相关,无急性梗阻,遂采取补液利尿保守治疗(见图4)。
图 3

图4
4.拔管前的焦灼:患儿呼吸机参数逐渐下调,于 6 月 10 日尝试脱机训练,不顺利,呼吸频率机呼吸机参数有升高趋势,经充分考虑,给予第二次西维来司他钠应用(2025 年 6 月 11 日-2025 年 6 月 20 日)。(见图 2、图 5)
5.成功拔管:至 6 月 13 日,患儿呼吸功能显著恢复,成功通过自主呼吸试验(SBT),遂顺利拔除气管插管。
第三阶段:成功脱机、康复转归与出院(2025 年 6 月 14 日-8 月 13 日)
患儿成功拔除气管插管后,进入序贯氧疗和功能康复阶段,病情持续向好,并最终达到出院标准。
1. 序贯氧疗支持: 自 6 月 14 日起,患儿开始接受经鼻高流量湿化氧疗,以维持稳定的氧合并提供一定的呼吸支持。至 6 月 21 日,其呼吸功能进一步改善,成功过渡至鼻导管吸氧,氧流速降至 0.5 L/min。(见图 5)
第二次西维来司他钠
图 5
2.功能状态显著恢复与转科:至 6 月 26 日,患儿一般状况良好:神志清楚,精神反应佳,可发声交流,并能完成俯卧抬头等动作,无发热及呼吸困难,夜间睡眠安稳。在低流量鼻导管吸氧(0.5 L/min)下,脉氧饱和度稳定在 98%以上。鉴于病情平稳,当 日转至康复科进行系统功能锻炼。
3.第三、四疗程靶向治疗:患儿转出后反复出现呼吸困难并心率增快,为巩固疗效,于 7 月 8 日-7 月 14 日、7 月 16 日至 7 月 23 日再次启用西维来司他钠,患儿呼吸困难症状逐渐好转。
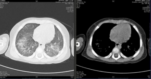
4.影像学持续好转:2025 年 6 月 24 日复查胸部 CT(见图 6),结果显示肺部病变较前继续好转。8 月 10 日复查胸部 CT,显示双肺病变已明显吸收(见图7)。
图 6
图 7
5.呼吸功能完全恢复:至 2025 年 8 月 13 日,患儿生命体征平稳,在 0.5 L/min氧流量下血氧饱和度维持在98%,并可间断离氧 1 小时且血氧饱和度保持在95%以上(心率 110-140 次/分,呼吸频率 20-50 次/分)。这标志着其肺功能已基本恢复至可脱离长期氧疗的水平。
6.达到出院标准:2025 年 8 月 13 日经全面评估,患儿生命体征稳定,氧合良好,感染控制,达到出院标准,予以当日出院,并计划于门诊定期随访。
总结与讨论
本例报告了一例 16 月龄重症腺病毒肺炎合并多病原(流感嗜血杆菌、人副流感病毒 3 型、 白色念珠菌等)感染、极重度 ARDS(氧合指数最低 64.4mmHg)及早期肺纤维化(KL-6: 4530 U/ml)的危重患儿的成功救治。患儿病史迁延近两个月,辗转多地医院,历经多次气管插管与呼吸机支持,期间甚至发生心跳骤停,一度被建议进行肺移植。于 2022 年发布《西维来司他钠在儿童重症医学科应用专家共识》3 ,该共识指出:建议中重症 ARDS 患儿早期使用西维来司他钠,合并SIRS 的轻度 ARDS 也可在诊断后24h 内使用。多项研究均发现接受西维来司他钠治疗的 ARDS 患者,动脉氧分压/吸入氧浓度(PaO2/FiO2)比值明显高于对照组,而且 90d 死亡风险明显降低。2025 年 5 月 13 日转入我院 EICU 后,救治团队根据共识,立即启动了以早期、分阶段应用西维来司他钠为核心的综合救治方案。同时,治疗方案整合了个体化的呼吸支持(如呼吸机模式调整、高侧卧位通气)、升级的抗感染(卡泊芬净+头孢哌酮舒巴坦)、抗肺纤维化(吡非尼酮+乙酰半胱氨酸)以及严格的器官功能维护,为逆转病情奠定了坚实基础。
通过上述综合干预,患儿病情逐步迎来转机。动态影像学监测清晰展现了肺部病变的持续改善:从5 月 28 日 CT 显示的“双肺炎性病变较前(5-14)有吸收”,到 6 月 24 日“较前好转 ”,直至8 月 10 日复查 CT 见病变明显吸收,客观印证了治疗的有效性。在此过程中,患儿呼吸功能显著恢复,成功脱离有创通气,序贯经鼻高流量氧疗及鼻导管吸氧,最终于8 月 13 日生命体征平稳出院。本例救治经验表明,对于传统治疗方案反应不佳的儿童重症肺炎及 ARDS,在综合支持基础上,早期并分阶段应用西维来司他钠,能有效改善氧合、减轻肺损伤,可能成为避免肺移植、改善预后的关键决策。其疗效与本例中观察到的 PaO₂/FiO₂比值提升及影像学改善相符,为共识的临床实践提供了有力佐证,但其在儿童群体的广泛应用仍需更多研究进一步验证。
参考文献
1. 中华医学会儿科学分会呼吸学组, 中华儿科杂志编辑委员会, 中国医药教育协会儿科专业委员会. 儿童社区获得性肺炎管理指南(2024 修订) [J]. 中华儿科杂志,
2024,62(10): 920-930.
2. 中国妇幼保健协会儿童变态反应专业委员会,《中国实用儿科杂志》编辑委员会. 儿童重症肺炎临床预警及早期决策专家共识[J]. 中国实用儿科杂志,2023,38(3):177-182.
3. 中国医师协会儿童重症医师分会. 西维来司他钠在儿童重症医学科应用专家共识[J].中国实用儿科杂志,2023,38(5):321-326.