81岁老人因甲流感染引发重症肺炎,抗病毒联合抗炎治疗力挽狂澜!
来源:医师报 作者:李敏
甲流(甲型流感)是一种由甲型流感病毒引起的急性呼吸道传染病。具有明显的季节性,北半球多在冬春季流行,南半球则在夏秋季高发,流行期间易出现聚集性疫情,传播速度较快。甲流症状与普通感冒相似,但通常更严重、发病更急,体温可达39°C以上,常伴有畏寒、寒战。部分高危人群可能发展为重症,出现呼吸衰竭、感染性休克、多器官功能损伤等严重并发症,甚至危及生命。
本次分享1例因甲流病毒继发细菌感染发展至呼吸衰竭的重症患者,抗感染、抗病毒的治疗基础上联合使用西维来司他钠进行抗炎治疗,以保护心、肺功能,最终好转的病例。
病例信息:
主诉:患者男性,81岁,因“咳嗽、发热、气短5天”2025年10月4日14时50分入院。
现病史:缘于入院前5天受凉后出现咳嗽、咳黄痰,伴有发热,活动后气短明显,体温最高39.2摄氏度,自认为感冒,口服退热药后体温下降,数小时再次上升,发热时伴有畏寒,无寒战,就诊于当地医院完善肺ct提示肺部感染,于诊所静点药物2天(具体不详),症状无改善,仍有发热、喘憋,稍微活动后即出现气促,求进一步诊治就诊我院急诊,急诊以”肺炎”收入我科。病程中精神萎靡,食欲不振,体重减轻约3kg。
既往史:高血压病史5年,血压最高180/100mmHg,口服硝苯地平缓释片,血压控制尚可;否认糖尿病、冠心病病史。否认肝炎、结核传染病病史。否认重大手术、外伤病史。否认食物、药物过敏史。吸烟60年,每日一包,未戒烟,偶有饮酒史。
重要体征:T36.2℃,P98次/分,R24次/分,BP180/80mmHg。外周血氧饱和度89%(未吸氧),口唇发绀,咽部充血,颈静脉无怒张,双肺呼吸音粗,双肺可闻及干湿性啰音。心率98次/分,律齐,未闻及杂音。腹软,无压痛、反跳痛、肌紧张,肝脾未触及。双下肢无水肿。
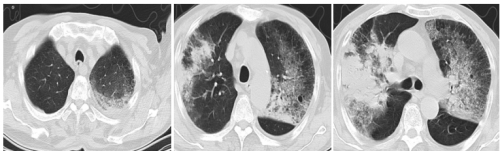
辅助检查:自带当地医院肺ct:双肺多发感染,主动脉钙化,肝左叶类圆形低密度病灶。入院后化验:高敏CRP >200.00 mg/L↑;PCT 12.66ng/ml;血常规:白细胞 4.53 10^9/L、淋巴细胞 0.48 10^9/L↓、淋巴细胞% 10.5 %↓、血小板 125.0 10^9/L、中性粒细胞% 88.1 %↑。心梗2项(肌红、肌钙蛋白):N-末端脑钠肽 4820.00 pg/ml↑、肌钙蛋白I 0.540 ng/ml↑↑。D二聚体 3920.00 ng/ml↑。白蛋白24g/l。肝功、肾功正常。血气分析:(吸氧10l/min):PH:7.42;pCO2:35mmHg;pO2:108mmHg,BE:-1.3,mmol/L, 痰基因8项结果回报:腺病毒,流感病毒、肺炎链球菌。
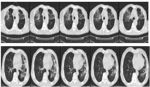
10.5日我院肺ct:肺ct显双肺片状、大片状高密度影,左侧可见少量胸腔积液。较自带肺ct明显进展。


临床诊断:重症肺炎
I型呼吸衰竭
甲型流感病毒感染
腺病毒感染
急性心功能不全
高血压3级(极高危险组)
低蛋白血症
治疗方案:美罗培南1.0gtid 静点
奥司他韦 75mg每日两次5天
更昔洛韦0.25g每12小时一次静点
西维来司他钠 0.3g24小时持续 1周
甲泼尼龙 40mg每日一次静点1周
新活素持续泵入3天
经鼻高流量湿化仪持续氧疗
10日复查高敏CRP 38.04 mg/L↑;PCT 1.52 ng/ml;血常规:高敏CRP(超敏):白细胞 10.06 10^9/L↑、血红蛋白 128.00 g/L↓、血小板 287.0 10^9/L、中性粒细胞 7.86 10^9/L↑、中性粒细胞% 78.2 %↑。N-末端脑钠肽 1830 pg/ml;外周血氧饱和度90-95%(不吸氧)。
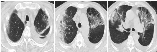
转归:10.11日复查肺ct:与5日肺ct比较 炎症病灶有吸收,双侧胸腔积液增多(考虑与低蛋白血症有关)。10.12日出院后继续口服莫西沙星2周,甲泼尼龙片2周(逐渐减量)。症状明显好转,可下床活动。
10.11肺ct 如下


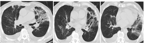
10.28 当地复查医院复查肺ct 如下 显示双肺多发斑片状影明显吸收好转。患者可正常活动。

讨论:
流感合并细菌感染是临床上常见的严重情况,需要及时、综合的治疗。流感病毒本身可以引起严重的呼吸道症状,而当合并细菌感染(如肺炎链球菌、金黄色葡萄球菌等)时,病情会加重,病程延长,治疗也需积极调整。
流感合并细菌感染的是一个复杂的病理生理过程,其核心在于流感病毒对呼吸道上皮和免疫系统造成原发性损伤,破坏了宿主的防御屏障,为细菌的继发定植和侵袭创造了“完美条件”。
1. 直接损伤呼吸道屏障: 病毒通过血凝素(HA)蛋白与呼吸道上皮细胞的唾液酸受体结合,侵入并复制,导致细胞变性、坏死、大面积脱落。2. 扰乱天然免疫系统:干扰素反应受损:流感病毒,特别是某些毒株(如甲型流感病毒),能通过多种机制(如NS1蛋白)抑制宿主I型干扰素的产生和信号传导。3.流感引发的异常免疫反应,是导致细菌易感的关键。在强烈的炎症反应后,机体可能进入一个短暂的免疫抑制状态,表现为淋巴细胞减少、功能衰竭。肺炎链球菌是最常见的合并感染菌。它利用病毒NA暴露的受体(如血小板活化因子受体)增强粘附,并因纤毛清除功能丧失和肺泡巨噬细胞功能抑制而得以立足。是肺部受到双重打击。
本病例为病毒合并细菌感染导致的重症肺炎以及急性心力衰竭,抗病毒、抗和抗炎、保护多脏器功能是成功救治的核心。根据NGS结果,选择美罗培南1.0g,每8小时一次,覆盖肺炎链球菌(因在外院进行2天头孢注射无效,入院后抗生素升级)。并立即给予奥司他韦75 mg口服,更昔洛韦抗病毒;联合西维来司他钠0.3 g/d(因高龄,酌情减量)持续泵入7天。西维来司他钠为中性粒细胞弹性蛋白酶抑制剂, 7天后复查肺部CT示双肺炎症明显吸收,氧合显著改善,提示抗炎治疗在遏制炎症风暴、改善肺病理损伤方面发挥了重要作用。
综上所述,对于重症流感合并细菌感染的患者,在积极抗病毒、抗菌治疗的基础上,早期联合应用抗炎药物(如西维来司他钠)可有效抑制炎症风暴,减轻肺损伤,改善氧合及临床症状,显著提高救治成功率。
作者简介

李敏 教授
吉林市中心医院 呼吸二科 主治医师
吉林市第七届呼吸分会委员兼秘书
吉林省康复医学会呼吸分会委员
吉林市感染性疾病质控秘书长
第一作者发表文章十余篇
主持及参与吉林市科研课题5项
获得省科技进步三等奖一项,市科技进步二等奖一项