老年间质性肺病急性进展伴呼吸衰竭的临床救治
时间:2026-01-12 12:41:57来源:医师报作者:于瑶
慢性纤维化性间质性肺病患者在感染等诱因下易出现病情急性加重,可快速进展为重症肺炎、呼吸衰竭甚至急性呼吸窘迫综合征(ARDS),给临床救治带来极大挑战。西维来司他钠凭借其独特的抗炎、抗纤维化机制,在急性肺损伤(ALI)/ARDS 治疗中展现出显著优势。本文回顾 1 例 74 岁老年女性肺间质纤维化急性加重患者的完整诊疗过程,详细阐述其从入院诊断、治疗方案制定到病情转归的全过程,重点分析西维来司他钠在改善患者肺功能、缓解炎症反应中的作用,为临床处理此类复杂病例提供借鉴。
病例信息
患者女,74 岁,以 “间断咳嗽 5 月,加重伴呼吸困难 2 天” 为主诉,于 2025 年 11 月 19 日入院。
现病史:
5 个月前无明显诱因出现咳嗽,活动后症状加重且与体位无关,2025年10 月 9 日于我院门诊行胸部 CT 提示双肺间质纤维化,遵医嘱规律服用泼尼松(10mg qd)、钙尔奇 D、盖诺真后咳嗽症状好转。2 天前受凉后咳嗽加重并伴呼吸困难,尚可平躺,未监测血氧及体温,自行服用安瑞克、更昔洛韦、阿奇霉素等药物,呼吸困难无明显改善,病程中无胸痛、胸闷、头晕、头痛等不适,饮食、睡眠欠佳,二便正常。
既往史:
有高血压病史10年、白内障手术史5年;否认吸烟史、饮酒史、家族相关病史及疫区接触史,无业。
基础体征:
身高 150cm,体重 50Kg,BMI 为 22.2。
入院查体:心率 110 次 / 分,呼吸 30 次 / 分,血压 146/77mmHg,指脉氧 51%(面罩吸氧后升至 78%)。
患者平车入室,神志清楚、查体合作,口唇发绀,双肺呼吸音粗,双下肺可闻及明显湿啰音,心脏查体无显著异常体征。
辅助检查:
影像学检查
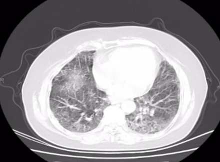
10月9日胸部 CT:双肺轻度间质改变伴纤维化。

11月18日胸部 CT:双肺新发弥漫磨玻璃影,纤维化较前加重。

实验室及其他检查:
1.血气分析:PO2:53mmHg,PCO2:37mmHg,PH:7.5,FiO2:0.41,氧合指数:129mmHg
2.感染指标:血常规白细胞计数:8.8×10^9/L,中性粒细胞计数:7.2×10^9/L(↑),淋巴细胞计数:1.2×10^9/L;CRP:172.2mg/L(↑);PCT:0.09ng/mL;
3.心脏指标:NT-proBNP:286pg/mL;心脏超声提示主动脉硬化,主动脉瓣钙化伴轻度反流,三尖瓣轻度反流,左室舒张功能不全(Ⅰ-Ⅱ 级),左心功能正常,EF 值:64%;
4.风湿指标:ANA 谱、ANCA、抗 CCP 抗体、抗心磷脂抗体、抗 β2 球蛋白、类风湿因子、免疫球蛋白均为阴性;
5.生化指标:肌酐:86umol/L(↑);
6.凝血象:血浆 D – 二聚体:366.66ng/ml;
7.传染四项:阴性;
Case 辅助检查检验:
病原学检查:EB 病毒 DNA、呼吸道合胞病毒 DNA、腺病毒 DNA、流感病毒核酸、新冠核酸、支原体抗体、G 试验均为阴性。
诊断结果:
1.重症肺炎
2.具有进行性表型的慢性纤维化性间质性肺病
3. I型呼吸衰竭
4.急性呼吸窘迫综合征
5.高血压
6.白内障术后
治疗思路与方案:
结合患者为老年女性、左心收缩功能正常、肺 CT 提示双肺间质性肺炎伴纤维化、重症合并呼吸衰竭且病情急性进展的特点,院外口服1月余糖皮质激素,制定初步治疗方案:
1、呼吸支持治疗:先采用无创呼吸机,后续更换为高流量呼吸机辅助通气;
2、抗感染治疗:给予头孢哌酮舒巴坦 3.0g bid ivgtt、米卡芬净 100mg qd ivgtt;
3、抗炎、抗纤维化治疗:静点西维来司他钠(4.8mg/kg/d)连用4天,同时口服尼达尼布。
病情演变:
治疗 2 天后,患者咳嗽、咳痰减轻,呼吸困难缓解,吸氧浓度从 65% 降至 45%,此阶段持续使用西维来司他纳进行抗炎、抗纤维化治疗。
继续治疗2天后,患者呼吸困难明显缓解,成功脱离高流量吸氧,在不吸氧静息状态下 SpO2 可达 91%,仍维持西维来司他钠用药并复查肺 CT。
复查指标及影像:
炎症指标变化(11 月 18 日 ~ 11 月 29 日)

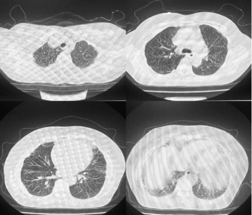
CT 影像:11 月 27 日复查胸部 CT,可见双肺磨玻璃渗出影明显吸收,对比 11 月 18 日影像,肺部病变改善显著。
11月27日肺CT:

11月18日肺部 CT

11月27日肺部CT

疾病转归:
患者经治疗后顺利出院,出院后需遵医嘱进行院外规律治疗。
病例讨论
患者肺部影像学提示双肺间质纤维化伴磨玻璃样渗出影,考虑慢性纤维化性间质性肺病伴急性感染,患者高龄、免疫低下,给予呼吸支持的同时积极抗细菌、抗机会性感染。入院时血气提示I型呼吸衰竭,结合影像表现符合急性呼吸窘迫综合征,在基础治疗的同时应积极对抗全身炎症反应,西维来司他钠作为核心抗炎抗纤维化药物,它的应用是本次治疗的关键。其独特机制可针对性抑制肺部炎症反应和纤维化进展,与尼达尼布存在协同作用。避免了长期大剂量激素带来的血糖升高、感染风险增加等不良反应,符合当前间质性肺病治疗中 “减少激素依赖” 的趋势。从治疗效果来看,患者炎症指标快速下降、肺部病变显著吸收,证实了该药物在慢性纤维化性间质性肺病急性加重中的重要作用,尤其适用于非感染性炎症主导的病情进展。但西维来司他钠与尼达尼布联合使用的协同机制尚需更深入的基础研究验证,是否可根据患者具体表型调整剂量或用药时长,以达到更优治疗效果仍需讨论。
作者简介

于瑶
副主任医师,副教授
哈尔滨医科大学附属第二临床医院
呼吸与危重症医学科二病房
中国中西医结合学会变态反应专业委员会青委
中国非公立医疗机构协会物联网医疗分会委员
中国研究型医院学会呼吸病学专业委员会委员
中国老年保健协会老年医学分会委员
中国肺癌防治联盟黑龙江省分联盟委员
黑龙江省医学会呼吸病分会秘书
黑龙江省慢病学会呼吸与危重症医学专业委员会常委兼秘书
发表SCI 及核心期刊10余篇,参编医学教材、论著、译著数本