一例由马尔尼菲篮状菌感染引起的重症肺炎患者救治过程
时间:2026-01-19 14:35:03来源:医师报作者:曹丽华 闫丽娜
篮状菌(Talaromyce),属于青霉属的有性型属,无性阶段叫做青霉,有性阶段叫做篮状菌。在国外,篮状菌属的物种有广阔的应用领域,在工业上常被用来生产酶,色素等,只不过以前篮状菌经常被误认为青霉,因此许多功劳被记在了青霉的头上,大家对篮状菌也还比较陌生。篮状菌属中还有一个大名鼎鼎的坏分子——马尔尼菲篮状菌/马尔尼菲青霉,它是一种条件致病菌,主要分布于东南亚国家和我国华南地区。以竹鼠为自然宿主。竹鼠感染后可正常带菌生存,但人群普遍易感。马尔尼菲篮状菌是篮状菌属中唯一的温度依赖性双相真菌,为分裂增殖,28℃时呈菌丝相,生长快速,35℃时培养呈酵母相生长,且生长较缓慢,感染人或动物时以酵母相存在于宿主体内。从菌丝相转变为酵母相大概需要3周以上时间,因此人感染后不会很快发病,具有1-3周的潜伏期。
今日分享一例由篮状菌属中的马尔尼菲篮状菌感染引起的重症肺炎患者的救治过程。
病例信息
患者男性,79岁,于2025年10月15日入院。
主诉:胸闷气短2年余,加重伴发热5天。
现病史:
患者2年前活动后胸闷气短,活动后加重,自诉无喘息及拉弦,无胸痛,自行服用速效救心丸好转,未在意,未系统诊治。5天前胸闷气短较前明显加重,伴发热,未测体温,咳嗽咳痰,痰量约20-30口,为黄色脓痰,就诊当地中医医院查胸部CT 左肺下叶炎性改变,左肺下叶支气管阻塞,双肺多发结节,左侧胸腔少量积液,住院期间静点抗生素治疗,患者症状不缓解,来我院急诊。
既往史:
冠心病病史6年,未服用药物,胸闷发作时口服速效救心丸,吸烟史50年,平均1包/天。
查体:
T:36.5℃ P:134次/分 R:33次/分 BP:149/95mmHg
端坐呼吸,口唇发绀;双肺听诊呼吸音粗,双肺闻及干湿啰音。双下肢无水肿。
辅助检查:
血气分析: pH: 7.36、PaO2 : 72.6mmHg ↓ 、PaCO2 : 27.1mmHg,HCO3- 14.8mmol/L,乳酸1.4mmol/L(氧合指数:136mmHg),指脉氧88%
血常规:WBC: 12.98×109/L, N 88.8% ↑ 、L# 0.9 ×109/L
CRP: 314mg/L↑ 肾功:尿素16.1mmol/L,肌酐135umol/L,
D-二聚体 5.75ug/mL;肝功、血凝均未见异常。
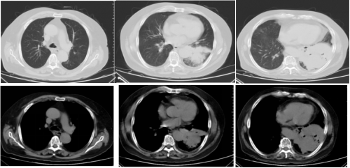
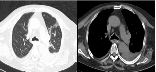
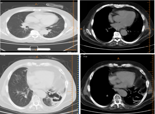
10月14日胸部CT检查:

10月15日
血气分析:吸氧浓度100%, pH: 7.06, PaO2 : 185mmHg ,PaCO2 : 62.4mmHg, HCO3-:14.5mmol/L,乳酸:1.7mmol/L
行气管插管,呼吸机参数:VC 模式,潮气量 480ml,R 20次/分, PEEP 6cm H2O

炎症指标及病原学:
降钙素原:6.82ng/ml;铁蛋白:2136 ng/ml(22-322 ng/ml);IL-6 :大于1000pg/mL;LDH :249.81U/L(120-250);CD4: 233个/uL;G、GM试验:阴性;血培养、痰培养:未见异常,真菌培养:白假丝酵母3cfu。
10-16:
tNGS(肺泡灌洗液):惠普尔养障体 (序列数119),EB病毒(序列数108)
肝功能:ALT:50.3 u/l; AST 109 u/l;白蛋白:20.6g/L;肾脏功能:尿素氮18.86mmol/L,肌酐:153.84umol/L;BNP:118.7pg/ml
彩超:
胸腔胸水:左侧胸腔可见积液,最深1.6cm,右侧胸腔可见积液,最深1.1cm
心脏彩超:左室肥厚,左房增大,主动脉瓣钙化并返流,二、三尖瓣返流,左室射血分数57%
双下肢静脉彩超:未见血栓。
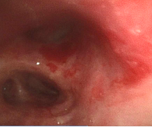
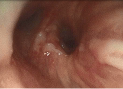
支气管镜:

隆突

左肺下叶开口

左肺下叶开口

右中间支气管
诊断:
1、重症肺炎
2、脓毒症
3、II型呼吸衰竭 慢性阻塞性肺疾病可能性大
4、代谢性酸中毒合并呼吸性酸中毒
5、左肺下叶支气管狭窄 肺癌?
6、心功能不全?
鉴别诊断:
肺栓塞:患者d-二聚体高,患者双下肢静脉彩超未见血栓,心脏彩超未见肺动脉高压,暂时不能耐受肺动脉CTA,暂无证据。
治疗及病情变化

1、美罗培南(1.0q 8h 泵入)抗感染
2、西维来司他钠(0.3g/d 、14天)抑制中性粒细胞弹性蛋白酶(NE)活性改善肺损伤
3、甲泼尼龙40mg,多索茶碱静点、复方异丙托溴胺及布地奈德雾化扩张气道
4、胸腺法新增强免疫
5、白蛋白补充白蛋白;异甘草酸酶保护肝脏

10-20患者出现发热,支气管镜下:左肺下叶开口大量脓性分泌物伴气道痉挛
10-21回报 : tNGS(肺泡灌洗液):嗜麦芽窄食单胞菌(序列数320),人类疱疹病毒1型 (序列数72083)EB病毒(序列数593) 巨细胞病毒(序列数52) GM阴性
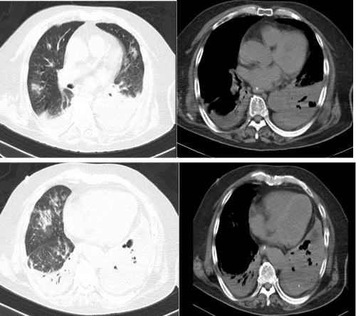
10-20胸部CT:


10-22:真菌培养:黄蓝状菌(蠕行青霉 )1cfu
神经元特异性烯醇化酶(NSE):16.05ng/mL(16.03),细胞角蛋白19片段抗原(CYRRA 21-1):7.44ng/mL(3.3)

10-23:
1、两性霉素B 5mg雾化
2、伏立康唑(首24小时,0.4g q12小时,之后0.2 g q12小时)
10-24:开始行俯卧位治疗
10-25、10-27:真菌培养均未见异常
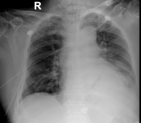
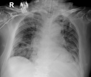
10-25胸部X线

10-28患者病情好转,予以气管拔管

10-16至10-31的炎症指标变化

10-24至10-31的氧合指数变化



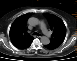
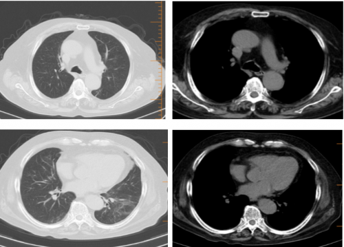
随访11-17胸部CT:

随访12-16胸部CT:


讨论
该患者为马尔尼菲篮状菌的重度感染,马尔尼菲篮状菌病为少见疾病。马尔尼菲篮状菌病(Talaromycosis,TSM)是由马尔尼菲篮状菌引起的侵袭性真菌病。该菌主要侵犯单核-巨噬细胞网状内皮系统,故而容易在淋巴结、肝、脾、肺、皮肤等发生病变。流行病学显示,90%以上病例出现在免疫力受损患者,尤其是艾滋病患者的免疫功能进一步下降,加剧了马尔尼菲篮状菌播散。TSM的影像学表现多种多样,包括大片实变、结节、磨玻璃改变、粟粒样病变、肺门或纵隔淋巴结肿大、胸腔积液、空洞、坏死,以及细菌性肺脓肿,内壁光滑,甚至有气液平面。气管镜下为气道内壁光滑的凸起结节,伪膜、溃疡等少见。
该病例使用西维来司他钠以减轻炎症风暴,显著改善患者肺功能,提高患者氧合指数,缩短住院机械通气时间,得以早日拔除气管导管。
作者简介

曹丽华教授
医学博士,主任医师、教授,硕士研究生导师
大连医科大学附属第二医院 呼吸与危重症医学科副主任(主持工作)、呼吸二科主任
中国研究型医院学会中国间质性肺疾病多学科诊治专家委员会委员
中华医学会教育技术分会第十届委员会教学应用与管理学组委员
辽宁省医学会呼吸分会慢阻肺学组副组长
大连市医学会变态反应学会主任委员
辽宁省医师协会呼吸分会常委
辽宁省生命科学学会PCCM专委会常委
辽宁省细胞生物学学会呼吸生理学专业委员会副主任委员
大连市医学会呼吸内科专科分会副主任委员
主持辽宁省自然基金、辽宁省教育厅基金等项目
新冠肺炎疫情防控全国三八红旗手

闫丽娜
大连医科大学附属第二医院 呼吸与危重症医学科二科 副主任医师
2024年在国家呼吸医学中心中日友好医院MICU进修半年
大连市医师协会呼吸医师分会委员
辽宁省呼吸介入与免疫分会委员
擅长:呼吸危重症、间质性肺病、支气管哮喘等呼吸科疾病的诊治,发表SCI文章4篇,主持横向课题1项,参与多项省级及市级课题。