78岁患者脑梗死15年,甲流合并重症肺炎一例
时间:2026-01-05 13:13:36 作者:刘丽华 刘琳琳
每年冬春季节是我国流感流行高峰期,当前已进入呼吸道传染病高发季节,疫情总体呈上升趋势,流感活动进入快速上升阶段,并仍将持续一定时间。
根据中国疾控中心最新监测(发布于2025年11月20日)显示1,全国哨点医院报告的流感样病例数占门急诊就诊总数的比例(流感样病例百分比)为6.5%;哨点医院门急诊流感样病例呼吸道样本检测阳性率前三位病原体为流感病毒(38.1%)、鼻病毒(8.8%)、呼吸道合胞病毒(5.0%);住院严重急性呼吸道感染病例呼吸道样本检测阳性率前三位病原体为流感病毒(11.4%)、鼻病毒(10.9%)、呼吸道合胞病毒(9.5%)。
甲型流感通常表现为上呼吸道和/或下呼吸道受累的体征和症状,以及全身性疾病(如发烧、头痛、肌痛和乏力)的症状。尽管它在一般人群中是一种自限性感染,但它与某些高风险人群的发病率和病死率增加相关,且通常存在着严重的并发症,如严重的急性肺损伤、ARDS以及其他肺外并发症2。
本病例为一例急性起病的老年患者,病情进展迅速,多脏器受累,在呼吸支持(面罩吸氧/经鼻高流量吸氧/无创机械通气)下联合西维来司他钠治疗的重症肺炎病例。
病例信息
患者男性,78岁,因“发热伴咳嗽、咳痰3天”于2025年10月4日入院治疗。
现病史:
患者3天前无明显诱因出现发热,未测体温,无畏寒、寒战,咳嗽、咳痰费力,自行口服扑热息痛片后体温下降,但体温复升,自行静点阿奇霉素、氨溴索(具体不详)治疗1天后未见好转,就诊于我院,行肺CT检查提示双肺炎症,急诊以“肺炎”为诊断收入我科。
既往史:
15年前因冠心病行冠脉搭桥术。脑梗死病史15年,遗留肢体活动不灵活。
个人史:
吸烟30年,平均约20支/日,已戒烟。
查体:
T 36.8℃,P 120次/分,R 30次/分,Bp 138/80mmHg,神清,呼吸急促,查体合作,口唇发绀,听诊双肺可闻及明显干湿啰音,心脏各瓣膜区未闻及杂音,腹部略膨隆,无压痛、反跳痛及肌紧张,双下肢无水肿,未见杵状指(趾)。
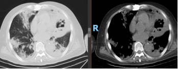
胸部CT检查:
双肺多发斑片影,左肺为著,纵隔内未见肿大淋巴结影,主动脉及冠状动脉硬化,胸部术后改变。

辅助检查:
血气分析(面罩吸氧中):PH 7.354,PCO2 31.8mmHg,PO2 59.7mmHg↓,SO2 90%,cK+ 3.91mmol/L,cNa+ 143mmol/L,cCL- 112mmol/L,cGlu 3.91mmol/L,cLac 6.25mmol/L↑↑。
血常规:白细胞计数 3.6*109/L,中性粒细胞计数 3.30*109/L,中性粒细胞百分比 91.9%↑,淋巴细胞百分比 5%↓,淋巴细胞绝对值 0.05*109/L↓,血红蛋白 150g/L,血小板计数 50*109/L↓↓↓。
凝血功能:凝血酶原时间 19.1s↑,凝血酶原时间活动度 49.6%↓,国际标准化比值 1.42↑,活化部分凝血活酶时间 60.6s↑,纤维蛋白原 6.33g/L↑,凝血酶时间 11.9s,D-二聚体 7.38μg/L↑。
NT-proBNP:4730pg/ml↑↑。
生化:丙氨酸氨基转移酶 35U/L,天冬氨酸氨基转移酶 41U/L,总胆红素 35.1μmol/L↑,胆碱酯酶 2338U/L↓,白蛋白 27.5g/L↓,总蛋白 55.8g/L↓,肌酐 170.5μmol/L↑,尿素 23.28mmol/L↑ ,尿酸 326.6μmol/L,钾 3.74mmol/L。
床旁超声:
双下肢深静脉未见血栓形成。
泌尿系超声:右肾囊肿,前列腺回声不均伴钙化。
心脏超声:左室壁心肌运动减弱并不协调,三尖瓣轻度返流,左室整体收缩功能正 常低值,EF 53%,主动脉退行性变并微量返流,升主动脉内径增宽。
病例总结
1.老年男性,既往有冠心病、心脏搭桥及脑梗死病史。
2.本次因发热伴咳嗽、咳痰入院,体温最高值不详,咳嗽,痰液不易咳出,就诊于外院肺CT提示双肺多肺叶感染性病变、左肺明显。
3.查体:口唇发绀,呼吸急促,双肺可闻及明显干湿啰音。
4.辅助检查提示存在I型呼吸衰竭,血小板减低,心肾功能不全,低蛋白血症等。
诊断:
1. 重症肺炎
2. I型呼吸衰竭
3. 高乳酸血症
4. 冠状动脉粥样硬化性心脏病
冠脉搭桥术后
心功能不全
5. 血小板较少
6. 低蛋白血症
7. 功能不全
8. 脑血管后遗症
治疗:
1. I级护理,心电监护。
2. 呼吸支持:经鼻高流量氧疗,流速50L/min,氧浓度80%,指脉氧饱和度最高维持在92-93%。
3. 抗感染:哌拉西林他唑巴坦4.5g Bid ivgtt
4. 祛痰:氨溴索30mg Bid ivgtt+吸入用乙酰半胱氨酸1.5ml Bid雾化+桉柠蒎肠溶软胶囊1粒 Tid口服,不定时吸痰5. 其他:艾司奥美拉唑40mg Qd ivgtt,人血白蛋白10g Qd ivgtt。
入院后1日(2025-10-5检查结果回报):
1. 血常规:白细胞计数 5.77*109/L,中性粒细胞计数 5.40*109/L,中性粒细胞百分比 93.6%↑,淋巴细胞百分比 5%↓,淋巴细胞绝对值 0.29*109/L↓,血红蛋白 147g/L,血小板计数 33*109/L↓↓↓。
2. PCT/IL-6:PCT 7.1429ng/mL↑↑↑,IL-6 3.0457ng/mL。超敏C反应蛋白:187mg/L↑。
3. EB病毒DNA定量检测、TORCH病毒核酸检测、G试验、GM试验、新冠病毒核酸、呼吸病毒六联检(肺炎支原体DNA、甲乙流、鼻病毒、腺病毒、呼吸道合胞病毒):均阴性。
4. 心肌酶:肌钙蛋白I 0.04ng/mL↑,BNP 537.70pg/mL↑。
5. 肝肾功能:天冬氨酸氨基转移酶 55U/L↑ ,白蛋白 20.10g/L↓ ,肌酐 196.90μmol/L↑,尿素 29.80mmol/L↑。
6. 复查血气分析(经鼻高流量氧疗,50L/min,氧浓度90%):PH 7.306,PCO2 34.2mmHg,PO2 63.3mmHg,SO2 90%,cK+ 3.72, cNa+ 144mmol/L,cCL- 113mmol/L,cLac 6.13mmol/L↑↑,cGlu 3.72mmol/L,PO2/FiO2 70.33↓↓↓。
痰培养结果:


诊疗计划:
1.综合上述辅助检查结果,将治疗方案调整为美罗培南1g Q12H+氟康唑0.1g Qd抗感染治疗。
2.患者肾功能差,肌酐清除率为27.3(CKD4期),暂时未加用复方新诺明抗感染。
3.考虑患者出现重症肺炎,合并全身炎症反应综合征,故加用0.9%NS 48ml+西维来司他钠0.4g 以2ml/h静脉泵入,连续使用7天。
病情转归:
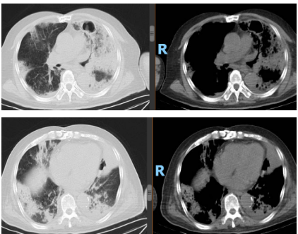
患者治疗10天后,复查炎症指标和胸部CT。
胸部CT复查结果: 双肺多发团片影,左肺内病灶可见空洞形成,双侧胸腔积液。


化验检查:
1. 超敏C反应蛋白 104mg/L。
2. 血常规:白细胞计数 17.62*109/L↑,中性粒细胞计数 15.42*109/L↑,中性粒细胞百分比 87.50%↑,淋巴细胞百分比 4.3%↓,淋巴细胞绝对值 0.75*109/L↓,血红蛋白 115g/L,血小板计数250*109/L。
3. 肝肾功能:未见明显恶化,白蛋白 20.10g/L↓同前。
4. BNP:419.50pg/mL↑。
5. PCT/IL-6:PCT 1.4637ng/mL↑↑↑,IL-6 0.3680ng/mL↑,均较前下降。
2025-10-20(入院16天后)
复查血气分析(经鼻高流量氧疗,流速50L/min,氧浓度60%):PH 7.291↓,PCO2 64.9mmHg↑,PO2 58mmHg↓,SO2 85%, cK+ 4.11mmol/L,cNa+ 146mmol/L,cCL- 107mmol/L,cLac 1.05mmol/L,cGlu 6.89mmol/L。
暂停经鼻高流量,改为无创呼吸机辅助通气治疗,S/T模式,IPAP 20cmH2O,EPAP 6cmH2O,氧浓度60%,VT波动于450ml左右。
2025-10-22(入院18天后)复查
1. 超敏C反应蛋白:52.50mg/L。
2. 血常规:白细胞计数 8.94*109/L,中性粒细胞计数 7.38*109/L↑,中性粒细胞百分比 82.60%↑,淋巴细胞百分比 5.60%↓,淋巴细胞绝对值 0.5*109/L↓,血红蛋白 97g/L↓,血小板计数225*109/L。
3. 肝肾功能:基本正常,白蛋白仍偏低,白蛋白 25g/L↓。
将治疗方案调整为哌拉西林他唑巴坦4.5g Bid ivgtt+氟康唑0.2g Qd静点+复方新诺明4片 Q6H口服抗感染。
2025-10-31(入院27天后)复查
1. 超敏C反应蛋白:45.30mg/L↑。
2. 血常规:白细胞计数 7.28*109/L,中性粒细胞计数 5.27*109/L,中性粒细胞百分比 72.30%↑,淋巴细胞百分比 13.20%↓,淋巴细胞绝对值 0.96*109/L↓,血红蛋白 88g/L↓,血小板计数162*109/L。
3. BNP:376.60pg/mL↑。
4. 肝肾功能:基本正常,白蛋白 27g/L↓。
5. 复查血气分析(无创呼吸机辅助通气,S/T模式, IPAP 14cmH2O,EPAP 6cmH2O,氧浓度28%):PH 7.490,PCO2 40mmHg,PO2 61.2mmHg↓,SO2 93%,cK+ 3.36, cNa+ 141mmol/L,cCL- 104mmol/L,cLac 1.39mmol/L,cGlu 5.18mmol/L ,PaO2/FiO2 218.57mmHg↓↓↓。
讨论
甲型流感每年呈季节性流行,感染人的流感病毒主要是甲型H1N1、H3N2亚型等。甲流可并发肺炎,而肺炎可能会发展为重症肺炎并进一步进展为急性呼吸窘迫综合征(ARDS)。
既往一项日本关于28例重症细菌性肺炎患者的回顾性研究显示,生存组患者西维来司他钠应用的时机更早,氧合指数、体温、心率、呼吸频率均有改善3。因此在本病例的病程早期加用西维来司他钠。西维来司他钠是高度专一的NE靶向抑制剂,是我国治疗ALI/ARDS的药物,早期使用可避免疾病进一步恶化进展。
参考文献
1.全国急性呼吸道传染病哨点监测情况(2025年第46周),中国疾控预防控制中心
2.刘涛,范红. 重症甲型流感诱发急性肺损伤的可能机制及治疗进展[J]. 华西医学,2021,36(1):1-7.
3.Nakamura S, et al.Efficacy of sivelestat for acute lung injury due to severe bacterial pneumonia with systemic inflammatory response syndrome [J].Nihon Kokyuki Gakkai Zasshi,2008,46(10):793-797.
作者简介

刘丽华
锦州医科大学附属第一医院呼吸危重症监护病区主任
呼吸教研室副主任,医学博士,主任医师,副教授
中国医药教育协会呼吸病康复专业委员会基层康复分会常委
中国药理学会化疗药理专业委员会青年委员
辽宁省医学会呼吸分会肺癌学组委员
辽宁省医学会呼吸分会青年委员
辽宁省医学会结核病学分会青年委员
锦州市医学会呼吸专科分会青年委员

刘琳琳
锦州医科大学附属第一医院 呼吸危重症监护病区
硕士研究生学历,主治医师,从事呼吸科工作7年,具有深厚的临床知识及丰富的临床经验,擅长呼吸科常见疾病的诊治,如肺部感染性疾病、支气管哮喘、慢性阻塞性肺疾病、肺栓塞、间质性肺疾病、胸腔积液等。曾到中日友好医院进修呼吸治疗半年,擅长危重症患者的机械通气治疗。