骨髓瘤合并新冠病毒感染引发的ARDS一例
时间:2025-12-31 13:38:19来源:作者:温继梨
根据国家疾控局和中国疾控中心发布的官方数据,2025年新冠疫情呈现出从局部上升到全国性高峰,再逐步回落的态势。主要流行毒株:全年优势毒株为NB.1.8.1(属于奥密克戎XDV谱系)。官方评估其致病力未发生明显变化,临床病例以轻症和无症状为主。重症和死亡病例数总体保持在较低水平。死亡病例主要发生在有严重基础疾病的老年人群中。基于2025年疫情的流行病学特点,高风险人群在呼吸道传染病高发季节仍需做好防护,老年人、有慢性基础疾病者、免疫力低下者等重症高风险人群,应及时接种疫苗,出现症状应及早就医。
骨髓瘤患者免疫力下降是一个由疾病本身和治疗方案共同导致的复杂问题。这让他们更容易感染(如细菌、病毒),且感染可能更严重、更难控制。对于骨髓瘤患者,免疫力下降是贯穿疾病全程的核心挑战。其根源在于恶性浆细胞破坏了正常的免疫系统,而必要的治疗又会进一步抑制免疫。在积极抗骨髓瘤治疗以控制疾病根本的同时,通过严密的预防措施、主动的监测和及时的支持治疗,来最大程度地降低感染风险。
当新冠病毒遇到骨髓瘤患者,迅速进展为重症肺炎、ARDS 时,西维来司他钠可用于发挥肺保护作用。本病例为应用西维来司他钠联合甲强龙,丙球,俯卧位通气等治疗措施及时有效的治疗成功的1例骨髓瘤合并新冠病毒感染所致重度ARDS患者。
病例信息
病史:
主诉:确诊骨髓瘤1月,发热伴咳嗽咳痰7天
现病史:患者1月前于我院血液科确诊为多发性骨髓瘤继发浆细胞白血病,予以化疗患者病情好转后于2025-11-24出院。7天前患者无明显诱因出现间断发热,体温可达39℃,每日午后发热加重,自行使用布洛芬、退热贴、吲哚美辛栓等对症治疗后,患者体温可下降,同时,伴有咳嗽咳痰,气短喘息、呼吸困难,未予以治疗。3天前患者呼吸困难、气短喘息症状较前明显加重,平卧时症状加重,坐起时可缓解,后为进一步治疗就诊于我院急诊,急诊完善相关检查,诊断重症肺炎,收入EICU住院治疗。
既往史:确诊多发性骨髓瘤1月,化疗方案:给予硼替佐米(2.2mg d1、4、8、11)+地塞米松(20mg d1、2、4、5、8、9、11、12)+来那度胺(25mg d1-21)+表柔比星(10mg d1-4)方案治疗,目前口服:硝酸异山梨酯片 1片/次 每日3次 口服、碳酸钙 1片 日2次、甲钴胺 2片日3次、叶酸片 2片日3次、复方甘草酸苷 2片 日2次。
入院查体:
T:36.8℃,BP:125/80mmhg,HR:80次/分,RR:20次/分。SpO2:93% (无创呼吸机辅助通气,PEEP:8mmhg,FIO2:80%),神情,贫血貌,双肺呼吸音粗,双肺可闻及干湿啰音,右肺为著。心腹查体阴性。神经系统查体阴性。
辅助检查:
血常规(2025-12-03 09:09):*▲白细胞计数2.01×10^9/L↓,淋巴细胞计数0.50×10^9/L↓,中性粒细胞计数1.11×10^9/L↓,▲血红蛋白测定66g/L↓,*▲红细胞计数2.22×10^12/L↓。血小板:41×10^9/L↓
血沉(2025-12-03 09:32):血沉121.00mm/h↑。
C反应蛋白测定(2025-12-03 11:56):C-反应蛋白288.3mg/L↑。
白介素6(生化)(2025-12-03 10:37):白介素6158.36pg/ml↑。
降钙素原(细菌感染、败血症)(2025-12-03 11:56):降钙素原(PCT)测定4.661ng/ml↑。
D-二聚体定量(全自动)(2025-12-03 10:10):D-二聚体定量39.60μg/ml↑。肝功9项(2025-12-03 11:56):▲白蛋白 (BCG法)18.3g/L↓。
其他化验指标正常。
血气分析:PH:7.35,PO2:65mmhg,PCO2:40mmhg,FiO2:80%,氧合指数:81mmHg
CT胸部(2025-12-02 14:25):双肺炎症,建议治疗后复查 右肺下叶实变 双侧胸腔少量积液。
EICU入院诊断:
重症肺炎,重度ARDS,骨髓瘤,化疗后骨髓抑制-三系减少,低蛋白血症
治疗方案:
控制感染:头孢他啶阿维巴坦,替加环素,伏立康唑,阿昔洛韦,复方新诺敏
控制炎症反应:甲强龙40Mgbid静点。西维来司他钠0.3g,24小时持续静脉泵注。
免疫调节:丙种球蛋白,胸腺法新
呼吸支持:无创呼吸机(吸氧浓度80%,PEEP8mmhg)+俯卧位通气
其他治疗:输血,升白针,血小板生成素,补蛋白,营养支持治疗。
病情变化:
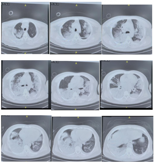
12月5日患者外送NGS血和痰的结果显示:新冠病毒阳性。同时调整抗生素为美罗培南联合莫西沙星。加用抗病毒口服药物先玛特伟。其他治疗未调整。治疗期间氧合指数逐渐好转,12月6-7日患者无创呼吸机高流量交替使用,呼吸支持条件下调,12月8日患者更换为鼻导管吸氧,可维持SPO2:95%。同时复查肺部CT:肺部病变明显好转。12月11日患者出院,转入血液科继续治疗骨髓瘤。
12月5日NGS结果:
痰:

血:

胸部CT变化:
12月2日:

12月8日:

总结
新冠病毒合并重症肺炎、ARDS应用西维来司他钠可获得良好效果,能改善患者呼吸功能,降低炎性指标水平,有助于改善患者疾病转归。有研究表明,西维来司他钠主要作用为抑制肺损伤,改善肺功能,减轻炎性反应。同时,药物能有效抑制肺上皮细胞及内皮细胞产生的炎性细胞因子,减少细胞因子刺激中性粒细胞释放弹性蛋白酶,打破肺损伤机制的恶性循环。西维来司他钠能降低ICU不同疾病合并ARDS患者炎性因子水平,且多数患者能获得良好治疗预后。分析原因: 西维来司他钠能选择性阻断弹性蛋白酶对于细胞外基质和上皮连接机构的降解,有助于缓解机体内的炎性反应,从而能获得良好的治疗预后。
无创呼吸机肺保护通气联合俯卧位通气是治疗中重度ARDS的一非常重要的疗法。俯卧位通气它通过改变重力对肺部和胸腔内器官的影响,使通气血流比重新匹配,从而改善氧合、保护肺脏、最终降低患者死亡率。本例患者的治疗有效改善患者氧合,避免气管插管。
丙种球蛋白,胸腺法新均为免疫调节剂,对于骨髓瘤的患者通过免疫调节与增强自身免疫能力,从而调高患者机体的抗炎能力。在重症感染的患者中发挥了积极抗炎的免疫辅助作用。
该例患者为西维来司他钠联合其他有效治疗手段(根据宿主因素的个体化治疗),成功救治的一例ARDS患者,早期诊断,早期用药(48小时内用药)早期联合治疗,从而避免气管插管,预后良好。希望能为这一类患者提供一些治疗经验。
作者简介

温继梨
内蒙古医科大学附属医院EICU主任医师,医学博士,硕士研究生导师
学术兼职:
内蒙古医院协会博士管理分会委员
中国医学教育题库急诊科评审委员会委员
内蒙古自治区营养学会委员
内蒙古自治区分子生物学学会委员
内蒙古自治区医学会医疗事故技术鉴定专家库成员及预防接种异常反应鉴定专家库成员
内蒙古自治区科学普及协会专家库成员
专业特长:擅长各类急危重症-ARDS,MODS,脓毒症,各类休克,心血管重症等的诊断和治疗
学术:主持并参与多项国家级课题和省部级课题
发表SCI数篇,完成多部专业著作