脑梗取栓患者感染人鼻病毒合并肺炎克雷伯菌的肺炎治疗
来源:医师报 作者:李晓雯
冬季流感起病隐秘,常高发于老年患者和合并基础疾病的患者。同时,冬季也是心脑血管疾病的高发季节。研究显示,基础疾病(高血压、糖尿病)、吞咽障碍及预防使用抗生素是脑血管疾病患者并发肺部感染的独立危险因素1。肺部感染是急性脑血管疾病最常见的合并症,尤其是老年患者。如果治疗不及时,则很容易导致患者出现呼吸衰竭而致死2。
今日分享一例脑血管病急性期患者感染病毒和细菌后出现严重的呼吸道并发症状,接受西维来司他钠联合抗细菌、病毒治疗后,病情逐步稳定并好转的经验分享。
病例信息
患者中老年男性,63岁,既往高血压病史。
主诉:昏迷3小时余于2025年11月17日入院
现病史:
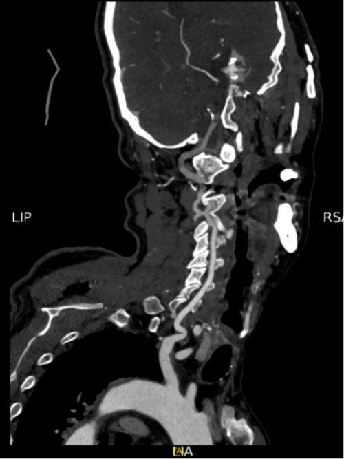
患者昏迷3小时余被人发现并送医,过程中患者昏迷症状持续,呼之不应,入院后评估,NIHSS(美国国立卫生研究院卒中量表)评分:35分。mRS(改良Rankin量表):5分。完善头颅CT+CTA+CTP:脑梗死,基底动脉闭塞,Tmax(脑灌注成像中造影剂在局部脑组织达到残留功能达到最大值的时间)>6s, mismatch体积(脑低灌注区与核心梗死区体积之差)6.6ml。病程患者曾呕吐,为胃内容物。
辅助检查:
11月17日急诊辅助检查:CTA:颅脑、颈部动脉粥样硬化改变。基底动脉、左侧推动脉V4段远端闭塞。左侧大脑后动脉P2段管腔中度狭窄。建议:DSA。颅脑CTP提示脑干及两侧小脑半球部分区域灌注减低。多发脑梗塞。建议:MRI检查(含DWI)。

诊断:急性脑梗死
结合评估结果,经与家属沟通后急诊溶栓并行取栓治疗。术后转入神经内重症监护室。
病情变化:
患者急性昏迷起病,发病时伴随呕吐,考虑存在吸入性肺炎,予经验性抗生素治疗,留取病原学检查,并完善胸部CT证实两肺下叶渗出性炎性表现,患者体温逐渐升高,最高38.9℃,血气分析提示氧合下降,术后脱机延迟。

呼吸辅助呼吸(PC-A/C SO2 60% Pinsp 15cmH2O PEEP 8cmH2O)情况下血气分析:

修正诊断:
急性脑梗死
吸入性肺炎
急性呼吸窘迫综合征

留取痰液血液咽拭子等标本送检病原学检查

治疗:
拉丝试验(检测肺炎克雷伯菌)阳性,该细菌为高毒力肺炎克雷伯菌株可能,依据病原学结果治疗予头孢哌酮他唑巴坦钠联合依替米星抗感染,喜炎平抗病毒,同时予注射用西维来司他钠(0.3g qd 24小时持续静脉泵入)抑制肺损伤,改善肺功能,减轻炎性反应。



经过治疗患者体温明显趋向正常,波动幅度减小

感染指标CRP明显下降(mg/L)

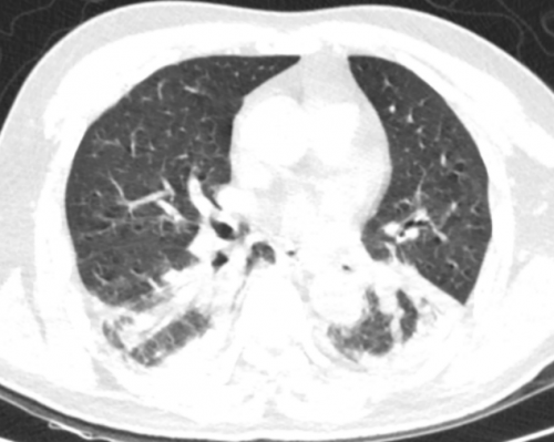
11月22日肺部CT
两肺渗出性改变,较前片两肺渗出进展、两肺下叶实变范围增大。
分别于11月24、26、28日 进行床边纤支镜加肺泡灌洗。
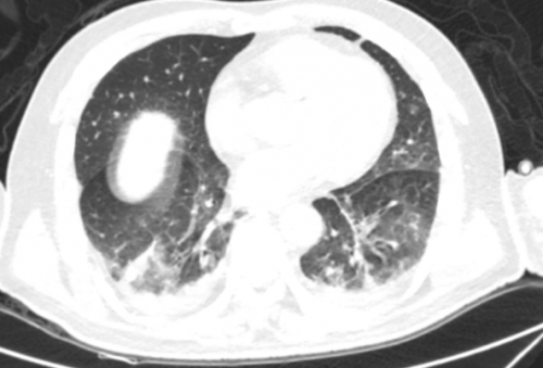
11月30日肺部CT

两肺渗出性改变,较前片两肺渗出、实变有吸收。
疾病转归:
患者肺部情况好转,于12月5日转入普通病房继续治疗。在普通病房复查的病原学培养中,细菌仍存在定植,但毒力明显下降。

病例讨论
该病例为一临床常见的急性脑血管病合并鼻病毒感染及高毒力肺炎克雷伯菌株感染性肺炎,冬季是流感病毒活动“上升阶段”,除流感外,常见呼吸道病原体有新冠、呼吸道合胞病毒、腺病毒、鼻病毒、肠道病毒(可引起呼吸道感染),本病例为病毒混合细菌感染、感染急性期呈现ARDS, 昏迷患者呼吸道廓清能力下降,病毒感染也会引起机体免疫力下降,出现淋巴细胞计数减少,病毒感染后合并细菌、真菌感染的发病率更高。
病毒感染,早期病毒大量快速复制,尤其合并细菌感染西维来司他钠主要作用为抑制肺损伤,改善肺功能,减轻炎性反应。同时,药物能有效抑制肺上皮细胞及内皮细胞产生的炎性细胞因子,减少细胞因子刺激中性粒细胞释放弹性蛋白酶,打破肺损伤机制的恶性循环。西维来司他钠能降低ICU不同疾病合并ARDS患者炎性因子水平,且多数患者能获得良好治疗预后。
该患者就是先后检出病毒及细菌感染,并出现严重的呼吸道并发症状,尤其在脑血管病急性期遇上在接受了西维来司他钠联合抗细菌、病毒治疗后,病情逐步稳定并好转,缩短了呼吸机应用及ICU住院时间,顺利转入普通病房。
参考文献
1.陈重霄. 脑血管疾病并发肺部感染的原因分析及护理对策[J]. 世界最新医学信息文摘(连续型电子期刊),2021,21(4):163-165.
2.胡浩,田龙,赵玉洁,等. 老年急性脑血管疾病患者肺部感染的病原菌分布与药敏分析[J]. 中华医院感染学杂志,2016,26(7):1520-1522.
作者简介

李晓雯
徐州医科大学附属医院 神经重症监护室,主治医师,
徐州医学院硕士研究生
徐州市疼痛协会神经病理学疼痛分会委员